Bọc răng sứ là giải pháp nha khoa giúp khôi phục hình dáng và chức năng răng, đồng thời mang lại nụ cười tự tin, thẩm mỹ hơn. Tuy nhiên, không ít người sau khi bọc răng lại gặp phải tình trạng viêm lợi răng sứ, gây sưng đau, chảy máu và làm giảm tuổi thọ của răng sứ. Điều này hoàn toàn có thể phòng tránh nếu bạn biết cách chăm sóc đúng cách ngay từ đầu. Trong bài viết này, hãy cùng tìm hiểu 5 bí quyết đơn giản nhưng hiệu quả để phòng ngừa viêm lợi răng sứ, giúp nướu khỏe mạnh và răng sứ bền đẹp lâu dài.
Những sai lầm dễ gây viêm lợi sau bọc răng sứ
Sau khi bọc răng sứ, nhiều người gặp tình trạng lợi bị sưng đỏ, đau nhức hoặc chảy máu. Một trong những nguyên nhân phổ biến đến từ chính những sai lầm trong quá trình lựa chọn nha khoa, chăm sóc và sinh hoạt hằng ngày. Dưới đây là những sai lầm thường gặp mà bạn nên tránh:
Chọn nha khoa kém uy tín
Bọc răng sứ đòi hỏi tay nghề bác sĩ cao và kỹ thuật chính xác. Nếu thực hiện ở cơ sở kém uy tín, răng sứ dễ bị cộm, hở viền nướu hoặc sử dụng chất liệu kém chất lượng. Điều này không chỉ làm mất thẩm mỹ mà còn dễ gây kích ứng lợi, khiến nướu bị đỏ, sưng đau và chảy máu.
Không vệ sinh răng miệng đúng cách
Sau bọc răng sứ, răng vẫn cần được chăm sóc kỹ lưỡng như răng thật. Tuy nhiên, nhiều người chỉ đánh răng qua loa, bỏ qua việc làm sạch kẽ răng, không dùng chỉ nha khoa hay nước súc miệng. Mảng bám và vi khuẩn tích tụ quanh viền nướu sẽ nhanh chóng gây ra viêm lợi.
Ăn uống không khoa học
Thói quen ăn uống cũng ảnh hưởng trực tiếp đến sức khỏe răng lợi. Việc thường xuyên ăn đồ quá cứng, quá nóng hoặc quá lạnh có thể khiến nướu bị tổn thương. Ăn nhiều đồ ngọt mà không vệ sinh răng miệng sau ăn sẽ tạo điều kiện cho vi khuẩn phát triển. Ngoài ra, rượu bia và thuốc lá cũng làm nướu yếu hơn, dễ bị viêm.
Tự ý dùng thuốc khi có dấu hiệu viêm lợi
Khi thấy lợi sưng đau, nhiều người tự ý uống thuốc giảm đau hoặc kháng sinh mà không có chỉ định của bác sĩ. Việc này chỉ giúp che lấp triệu chứng tạm thời, không điều trị được nguyên nhân gốc. Hậu quả là tình trạng viêm lợi có thể tiến triển thành mãn tính, gây khó khăn trong điều trị về sau.
Không tái khám định kỳ sau bọc răng sứ
Tái khám định kỳ là bước quan trọng để bác sĩ kiểm tra độ khít sát của răng sứ và phát hiện sớm những bất thường. Tuy nhiên, nhiều người bỏ qua, chỉ đến nha khoa khi viêm lợi đã nặng, gây khó chịu kéo dài. Lúc này việc điều trị sẽ phức tạp và tốn kém hơn rất nhiều.

Hậu quả của viêm lợi sau bọc răng sứ nếu không xử lý kịp
Viêm lợi sau bọc răng sứ là tình trạng khá phổ biến, có thể xảy ra do sai sót kỹ thuật hoặc do người bệnh chăm sóc răng miệng chưa đúng cách. Nếu phát hiện sớm và điều trị kịp thời, tình trạng này có thể được kiểm soát nhanh chóng. Tuy nhiên, khi để kéo dài, viêm lợi răng sứ sẽ dẫn đến nhiều hậu quả nghiêm trọng:
Gây đau nhức, khó ăn uống
Viêm lợi khiến vùng nướu bị sưng đỏ, nhạy cảm và đau rát. Người bệnh gặp khó khăn khi nhai, thậm chí cả khi ăn những món mềm. Tình trạng này kéo dài sẽ làm giảm chất lượng cuộc sống, ảnh hưởng đến dinh dưỡng và sức khỏe tổng thể.
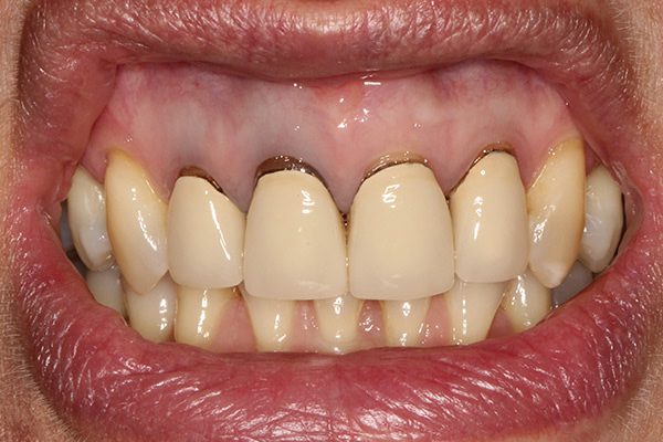
Lợi sưng, chảy máu, hơi thở có mùi
Vi khuẩn tích tụ ở viền nướu khiến lợi dễ bị sưng tấy, chảy máu khi chải răng hoặc ăn uống. Đồng thời, vi khuẩn cũng là nguyên nhân gây hôi miệng, làm người bệnh mất tự tin trong giao tiếp hàng ngày.
Ảnh hưởng đến độ bền của răng sứ
Viêm lợi không chỉ gây tổn thương mô nướu mà còn ảnh hưởng trực tiếp đến độ bền và tuổi thọ của răng sứ. Nếu lợi bị viêm lâu ngày, răng sứ có thể trở nên lỏng lẻo, hở viền, giảm tính thẩm mỹ và chức năng.
Nguy cơ viêm nha chu, tiêu xương ổ răng
Trong trường hợp nặng, viêm lợi không được xử lý có thể tiến triển thành viêm nha chu. Đây là bệnh lý răng miệng nguy hiểm, gây tiêu xương ổ răng, làm răng sứ mất điểm tựa và dễ bị rơi ra. Không chỉ vậy, viêm nha chu còn ảnh hưởng đến răng thật xung quanh, gây mất răng hàng loạt.

5 bí quyết phòng ngừa viêm lợi răng sứ an toàn và bền lâu
Sau khi bọc răng sứ, không ít người gặp tình trạng viêm lợi gây sưng đỏ, đau nhức và khó chịu. Nếu để kéo dài, tình trạng này không chỉ ảnh hưởng đến thẩm mỹ mà còn làm giảm tuổi thọ của răng sứ. Để tránh những hậu quả không mong muốn, bạn có thể áp dụng 5 bí quyết dưới đây để phòng ngừa viêm lợi răng sứ hiệu quả.
Chọn nha khoa uy tín và bác sĩ tay nghề cao
Kỹ thuật bọc răng sứ đóng vai trò quyết định đến sự thoải mái và độ bền của răng sau khi phục hình. Răng sứ khít sát, ôm nướu chuẩn xác sẽ giúp hạn chế nguy cơ viêm nhiễm. Ngược lại, nếu chọn nha khoa kém uy tín, răng có thể bị hở viền, cộm hoặc lắp đặt sai kỹ thuật, dễ gây viêm lợi và các biến chứng khác. Vì vậy, hãy tìm đến cơ sở nha khoa uy tín với đội ngũ bác sĩ giàu kinh nghiệm để đảm bảo kết quả an toàn và bền lâu.
Vệ sinh răng miệng khoa học
Chăm sóc răng miệng đúng cách là yếu tố quan trọng nhất để phòng ngừa viêm lợi. Bạn nên:
- Đánh răng 2–3 lần/ngày bằng bàn chải lông mềm để tránh tổn thương nướu.
- Dùng chỉ nha khoa thay cho tăm tre để làm sạch kẽ răng và hạn chế viêm nhiễm.
- Súc miệng bằng dung dịch sát khuẩn chuyên dụng để loại bỏ vi khuẩn còn sót lại.
- Thói quen này không chỉ giúp răng lợi luôn sạch sẽ mà còn duy trì độ bền đẹp cho răng sứ.
Chế độ ăn uống hợp lý
Một chế độ ăn khoa học sẽ góp phần giữ cho lợi khỏe mạnh:
- Hạn chế đồ ngọt, đồ ăn quá cứng, quá nóng hoặc quá lạnh để tránh gây tổn thương răng và nướu.
- Tránh sử dụng thuốc lá, rượu bia và các chất kích thích, vì chúng làm suy yếu mô nướu, tăng nguy cơ viêm.
- Bổ sung rau xanh, trái cây tươi, thực phẩm giàu vitamin C và canxi để tăng cường sức đề kháng cho răng lợi.
Tái khám nha khoa định kỳ
Việc tái khám theo đúng lịch hẹn là bước quan trọng để phát hiện sớm các vấn đề như răng sứ hở viền, lệch khớp cắn hoặc dấu hiệu viêm lợi. Bác sĩ sẽ kiểm tra, điều chỉnh và đưa ra giải pháp xử lý kịp thời, giúp bạn tránh được biến chứng nặng và duy trì độ bền của răng sứ.
Xử lý kịp thời khi có dấu hiệu bất thường
Nếu nhận thấy các dấu hiệu cảnh báo như lợi đỏ, sưng, đau nhức, chảy máu hoặc hơi thở có mùi, bạn tuyệt đối không nên chủ quan. Đặc biệt, không được tự ý dùng thuốc khi chưa có chỉ định từ bác sĩ. Hãy đến ngay nha khoa để được thăm khám và điều trị đúng cách, tránh để tình trạng viêm lợi trở thành mãn tính.
Áp dụng đầy đủ 5 bí quyết trên sẽ giúp bạn phòng ngừa viêm lợi răng sứ hiệu quả, đồng thời bảo vệ sức khỏe răng miệng và duy trì nụ cười rạng rỡ dài lâu.

Viêm lợi răng sứ hoàn toàn có thể phòng ngừa nếu bạn lựa chọn đúng nha khoa ngay từ đầu và duy trì thói quen chăm sóc răng miệng khoa học mỗi ngày. Việc tái khám định kỳ không chỉ giúp phát hiện sớm các bất thường mà còn đảm bảo răng sứ bền đẹp, bảo vệ sức khỏe răng miệng lâu dài.
Nếu bạn đang tìm giải pháp phòng ngừa viêm lợi răng sứ hoặc gặp vấn đề liên quan đến răng sứ, đừng chần chừ mà hãy tìm đến Nha Khoa Ngọc – nha khoa uy tín để được thăm khám, tư vấn và điều trị kịp thời.
NHA KHOA NGỌC
- GPKD số 08A8016688 do UBND TP cấp ngày 14/1/2021.
- GPHĐ số 000117/TB-GPHĐ
- BS Ngọc: 0913.833.959
- Giờ mở cửa : Sáng 8-11h, chiều 15-18h30 tất cả các ngày trong tuần
- Địa chỉ: 623 Lê Quý Đôn – Thành phố Thái Bình (đối diện cổng chính Công An tỉnh 9 tầng)
- Website: https://nhakhoathaibinh.com/
Xem thêm:
- Hàn răng Thái Bình: Giải pháp phục hồi răng nhanh chóng và hiệu quả
- Những câu hỏi thường gặp về hàn răng bị mẻ Thái Bình
- Máng hướng dẫn phẫu thuật cấy ghép implant tại Thái Bình
- Thiết kế nụ cười Thái Bình: Giải pháp hoàn hảo cho nụ cười của bạn
- Răng sứ bị viêm lợi và lung lay: Nguyên nhân, dấu hiệu và cách xử lý
