Bọc răng sứ được xem là giải pháp thẩm mỹ và phục hình răng phổ biến hiện nay, giúp hàm răng trắng đẹp, đều đặn và chắc khỏe hơn. Tuy nhiên, không ít người sau khi bọc sứ lại gặp phải tình trạng viêm lợi với các biểu hiện như sưng đỏ, đau nhức, thậm chí chảy máu khi ăn nhai. Lúc này, câu hỏi khiến nhiều người lo lắng nhất là: răng sứ bị viêm lợi có cần làm lại không, hay chỉ cần điều trị viêm lợi là đủ?
Bài viết dưới đây Nha Khoa Ngọc sẽ giúp bạn tìm hiểu nguyên nhân, dấu hiệu, cách xử lý cũng như lời khuyên từ nha sĩ để có hướng khắc phục hiệu quả.
Nguyên nhân khiến răng sứ bị viêm lợi
Răng sứ sau khi phục hình nếu không được thực hiện đúng kỹ thuật hoặc chăm sóc cẩn thận rất dễ gây ra tình trạng viêm lợi. Một số nguyên nhân phổ biến bao gồm:
Do kỹ thuật bọc sứ không chuẩn
Nếu quá trình mài răng quá nhiều hoặc răng sứ được lắp không khít sát với viền nướu, kẽ răng sẽ bị hở, tạo điều kiện cho thức ăn mắc lại. Lâu ngày, vi khuẩn tích tụ dẫn đến viêm lợi, sưng đỏ và hôi miệng. Đây là nguyên nhân thường gặp ở những ca bọc răng sứ tại cơ sở kém uy tín.
Do chất liệu răng sứ kém chất lượng
Một số loại răng sứ giá rẻ có thành phần không đảm bảo, dễ gây kích ứng mô nướu. Khi tiếp xúc lâu dài, lợi sẽ bị viêm đỏ, đau nhức, thậm chí tụt lợi. Vì vậy, việc lựa chọn chất liệu răng sứ an toàn, lành tính với cơ thể là yếu tố rất quan trọng.

Do vệ sinh răng miệng không đúng cách
Dù là răng thật hay răng sứ, việc vệ sinh không kỹ lưỡng đều khiến mảng bám và vi khuẩn tích tụ quanh viền nướu. Nếu người dùng chỉ chải răng mà không kết hợp chỉ nha khoa hoặc nước súc miệng, nguy cơ viêm lợi sau bọc sứ càng cao.
Do cơ địa hoặc bệnh lý răng miệng
Một số người có lợi nhạy cảm, men răng yếu hoặc đang mắc bệnh lý nha chu, viêm lợi sẵn có, khi bọc răng sứ tình trạng này có thể trở nên nghiêm trọng hơn. Đây cũng là lý do bác sĩ thường khuyên nên điều trị dứt điểm các bệnh răng miệng trước khi phục hình răng sứ.
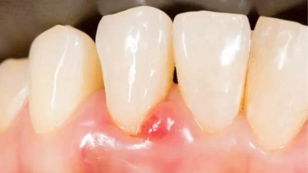
Dấu hiệu nhận biết viêm lợi sau bọc răng sứ
Viêm lợi sau khi bọc răng sứ thường tiến triển từ nhẹ đến nặng. Người bệnh cần sớm phát hiện những dấu hiệu bất thường để có hướng xử lý kịp thời. Một số biểu hiện thường gặp gồm:
Lợi sưng đỏ, đau rát
Phần nướu quanh viền răng sứ trở nên sưng phồng, đỏ hơn so với bình thường và gây cảm giác đau rát, khó chịu. Đây là dấu hiệu sớm cảnh báo tình trạng viêm nhiễm.
Chảy máu khi chải răng hoặc ăn nhai
Khi lợi bị tổn thương, chỉ cần tác động nhẹ như chải răng hoặc nhai thức ăn cứng cũng có thể gây chảy máu. Nếu hiện tượng này lặp lại nhiều lần, rất có thể bạn đã bị viêm lợi quanh răng sứ.
Hơi thở có mùi hôi
Vi khuẩn tích tụ lâu ngày ở kẽ răng và viền nướu không chỉ gây viêm mà còn tạo ra mùi hôi khó chịu trong khoang miệng. Đây là triệu chứng đi kèm thường gặp ở những người bị viêm lợi.
Có mủ hoặc tụt lợi quanh răng sứ
Khi bệnh tiến triển nặng, vùng lợi quanh răng sứ có thể xuất hiện mủ, kèm theo tình trạng tụt lợi, lộ chân răng. Nếu không điều trị sớm, viêm lợi có thể dẫn đến viêm nha chu, ảnh hưởng đến tuổi thọ của răng sứ và răng thật bên dưới.

Răng sứ bị viêm lợi có cần làm lại không?
Đây là thắc mắc chung của rất nhiều người sau khi phục hình răng sứ. Thực tế, việc có cần tháo bỏ răng sứ để làm lại hay không còn phụ thuộc vào nguyên nhân gây viêm lợi và mức độ bệnh lý.
Không phải lúc nào cũng cần làm lại
Trong nhiều trường hợp, răng sứ bị viêm lợi chỉ xuất phát từ thói quen vệ sinh răng miệng chưa đúng cách hoặc do cơ địa có nướu nhạy cảm. Lúc này, bạn chỉ cần:
- Điều trị viêm lợi theo chỉ định của bác sĩ.
- Kết hợp chăm sóc răng miệng khoa học: chải răng đúng kỹ thuật, dùng chỉ nha khoa, súc miệng kháng khuẩn.
- Theo dõi định kỳ để đảm bảo tình trạng viêm không tái phát.
- Nếu thực hiện tốt, lợi sẽ hồi phục mà không cần tháo bỏ hay làm lại răng sứ.
Trường hợp cần tháo răng sứ và làm lại
Trong một số tình huống, bác sĩ sẽ khuyên tháo răng sứ để phục hình lại, đặc biệt khi:
- Răng sứ bị hở kẽ, cấn khớp cắn: khiến thức ăn dễ giắt lại, viêm lợi tái phát nhiều lần dù đã điều trị.
- Chất liệu răng sứ gây kích ứng lợi: thường gặp ở răng sứ kim loại hoặc loại sứ kém chất lượng.
- Viêm lợi nặng, có biến chứng: lợi bị tụt, lộ chân răng, thậm chí ảnh hưởng đến răng thật bên dưới.
Trong các trường hợp này, việc tháo bỏ và làm lại răng sứ với kỹ thuật chuẩn và chất liệu an toàn là giải pháp cần thiết để bảo vệ sức khỏe răng miệng lâu dài.
Răng sứ bị viêm lợi có cần làm lại không sẽ phụ thuộc trực tiếp vào nguyên nhân gây bệnh. Nếu chỉ là viêm nhẹ do vệ sinh chưa đúng cách, tình trạng này hoàn toàn có thể điều trị. Tuy nhiên, nếu nguyên nhân xuất phát từ sai sót kỹ thuật hoặc chất liệu sứ kém chất lượng, thì việc làm lại răng sứ là cần thiết để bảo vệ sức khỏe răng – lợi lâu dài.
Người bệnh tuyệt đối không nên chủ quan hay tự ý mua thuốc uống tại nhà, bởi điều này có thể khiến bệnh trở nặng hơn. Tốt nhất, hãy đến nha khoa uy tín để được bác sĩ thăm khám và đưa ra hướng xử lý chính xác.
NHA KHOA NGỌC
- GPKD số 08A8016688 do UBND TP cấp ngày 14/1/2021.
- GPHĐ số 000117/TB-GPHĐ
- BS Ngọc: 0913.833.959
- Giờ mở cửa : Sáng 8-11h, chiều 15-18h30 tất cả các ngày trong tuần
- Địa chỉ: 623 Lê Quý Đôn – Thành phố Thái Bình (đối diện cổng chính Công An tỉnh 9 tầng)
- Website: https://nhakhoathaibinh.com/
Xem thêm:
- Hàn răng Thái Bình: Giải pháp phục hồi răng nhanh chóng và hiệu quả
- Những câu hỏi thường gặp về hàn răng bị mẻ Thái Bình
- Máng hướng dẫn phẫu thuật cấy ghép implant tại Thái Bình
- Thiết kế nụ cười Thái Bình: Giải pháp hoàn hảo cho nụ cười của bạn
- Răng sứ bị viêm lợi và lung lay: Nguyên nhân, dấu hiệu và cách xử lý
