Lưu trữ thẻ: răng sứ bị hở kẽ
Răng sứ bị hở kẽ nhét thức ăn – Nguyên nhân thường gặp sau bọc sứ
Sau khi bọc răng sứ, nhiều người cảm thấy hài lòng với hàm răng trắng...
12
Th11
Th11
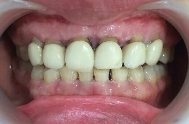
Răng sứ bị tụt lợi hở kẽ – Nỗi lo thẩm mỹ và sức khỏe răng miệng
Bọc răng sứ là giải pháp thẩm mỹ được nhiều người lựa chọn để sở...
07
Th11
Th11
Giải pháp vệ sinh răng sứ bị hở kẽ giúp giảm nhét thức ăn và mùi hôi
Sau một thời gian bọc răng sứ, nhiều người gặp tình trạng răng sứ bị...
01
Th11
Th11
Răng sứ bị hở kẽ phải làm sao? Hướng dẫn điều trị răng sứ bị hở kẽ đúng cách
Sau khi bọc răng sứ một thời gian, nhiều người bắt đầu cảm thấy răng...
23
Th10
Th10
Răng sứ bị hở kẽ dắt thức ăn – Dấu hiệu cảnh báo cần xử lý sớm
Sau khi bọc răng sứ, nhiều người gặp tình trạng răng sứ bị hở kẽ...
22
Th10
Th10
