Lưu trữ thẻ: Hàn răng sứ inlay onlay Tp Thái Bình
Địa chỉ hàn răng sứ inlay onlay Tp Thái Bình an toàn
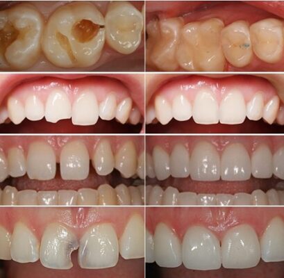
Hàn răng sứ inlay onlay Tp Thái Bình là một trong những phương pháp phục...
26
Th5
Th5
Hàn răng sứ inlay onlay Tp Thái Bình dẫn đầu trong xu hướng trám răng
Ngày nay với sự tiến bộ và phát triển về các lĩnh vực trong nha...
22
Th5
Th5
Hàn răng sứ inlay onlay Tp Thái Bình mang đến cho bạn thẩm mỹ lâu dài
Trám răng hay hàn răng là một kỹ thuật nha khoa sử dụng vật liệu...
15
Th5
Th5
Bỏ túi kinh nghiệm hàn răng sứ inlay onlay Tp Thái Bình
Hàn răng sứ inlay onlay Tp Thái Bình là kỹ thuật nha khoa đơn giản...
15
Th5
Th5
Phương pháp hàn răng sứ inlay onlay Tp Thái Bình có gì khác biệt
Bạn biết không? Khi những chiếc răng bên trong của bạn gặp phải một trong...
14
Th5
Th5
Quy trình hàn răng sứ inlay onlay Tp Thái Bình diễn ra như thế nào?
Hàn răng sứ inlay onlay Tp Thái Bình có lẽ vẫn là khái niệm tương...
10
Th5
Th5
Hàn răng sứ inlay onlay Tp Thái Bình được khách hàng đánh giá cao
Hàn răng sứ inlay onlay Tp Thái Bình là lựa chọn hàng đầu để phục...
14
Th4
Th4
Hàn răng sứ inlay onlay Tp Thái Bình là kỹ thuật phục hình thẩm mỹ được khách hàng tin tưởng
Hàn răng sứ inlay onlay Tp Thái Bình là phương pháp điều trị răng sử...
13
Th4
Th4
