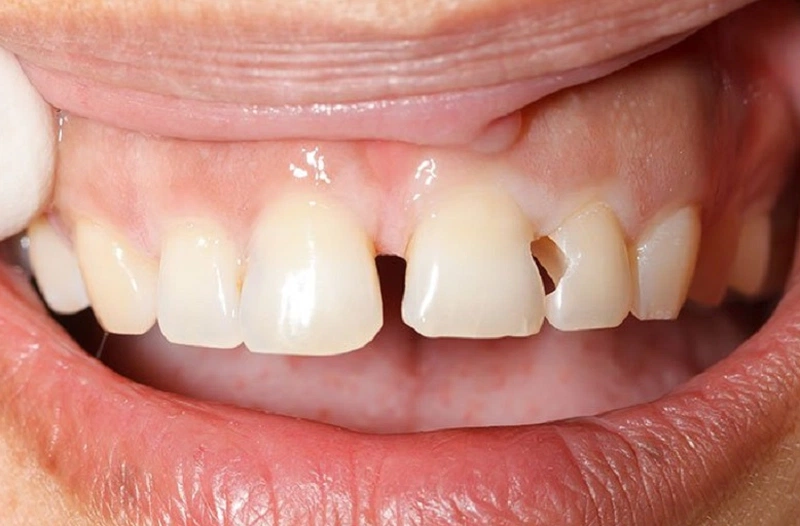
Răng bị mẻ không chỉ ảnh hưởng đến thẩm mỹ mà còn gây khó khăn trong ăn nhai và dễ dẫn đến các bệnh lý răng miệng. Nếu bạn đang sinh sống tại Thái Bình và gặp tình trạng này, đừng lo lắng – dịch vụ hàn răng bị mẻ Thái Bình sẽ giúp bạn phục hồi hình dáng răng một cách nhanh chóng, an toàn và tiết kiệm chi phí. Với công nghệ hiện đại cùng đội ngũ nha sĩ giàu kinh nghiệm, bạn hoàn toàn yên tâm lấy lại nụ cười tự tin chỉ sau một lần điều trị.
Lý do khiến răng bị sứt mẻ
Răng bị mẻ có thể xảy ra do nhiều nguyên nhân như:
Men răng yếu
Men răng đóng vai trò bảo vệ răng trước những tác nhân gây hại. Tuy nhiên, có nhiều người có men răng yếu bẩm sinh hoặc men răng yếu dần do những thói quen xấu hàng ngày. Đây là một trong những nguyên nhân khiến răng dễ bị sứt mẻ ghi gặp tác động mạnh.
Sâu răng
Răng sâu khiến cho toàn bộ cấu trúc yếu và nhạy cảm, dễ dàng bị sứt mẻ khi ăn đồ cứng hoặc chịu tác động mạnh. Đây cũng là một trong những nguyên nhân gây ra hiện tượng sứt mẻ răng nhiều nhất.

Chấn thương và chịu tác động lực bên ngoài
Chấn thương khi va chạm, dùng răng để cắn những đồ vật quá cứng và thói quen nghiến răng khi đi ngủ,… Là một trong những nguyên nhân có thể khiến răng bị sứt mẻ.

Răng đã điều trị tủy
Khi răng đã mắc các bệnh lý về răng và điều trị tủy thì răng sẽ rất giòn. Răng rất dễ vỡ khi nhai thức ăn hoặc có ngoại lực tác động.
Những câu hỏi thường gặp về hàn răng bị mẻ Thái Bình
Răng bị mẻ không chỉ khiến nhiều người tự ti khi giao tiếp, mà còn gây cản trở trong ăn uống và sinh hoạt. Tuy nhiên, khi quyết định hàn răng bị mẻ nhiều người vẫn băn khoăn với những câu hỏi như:
Hàn răng mẻ có đau không?
Quy trình hàn răng bị mẻ thường không gây đau nhiều cho khách hàng. Trước khi hàn răng các bác sĩ sẽ tiến hành tiêm tê để bạn cảm thấy dễ chịu trong quá trình thực hiện. Đối với những tổn thương ở phần men răng hàn sẽ không đau. Còn nếu như tổn thương ở phần ngà răng thì sẽ có ê buốt đôi chút.
Sau khi trám răng xong bạn sẽ cảm thấy hơi ê buốt sau 1 vài giờ đầu, nhưng sẽ nhanh chóng hết dần. Nếu răng bạn nhạy cảm thì tình trạng này có thể kéo dài đến một vài ngày sau đó. Tuy nhiên, bạn không cần quá lo lắng về tình trạng này vì đây là hiện bình thường sau khi hàn trám răng.
Trong một vài trường hợp hy hữu bạn có thể sẽ mắc các biến chứng sau khi hàn như cơn đau dữ dội kéo dài, những bất thường về răng, nướu. Lúc này cần liên lạc với bác sĩ thực điều trị để xử lý kịp thời.

Hàn răng mẻ có bền không?
Khách hàng vẫn thường nghi ngờ về tuổi thọ của miếng trám. Nhưng trên thực tế việc miếng trám có bền hay không? Sẽ phụ thuộc rất nhiều vào cách chăm sóc răng miệng của ban sau khi hàn.
Độ bền của việc hàn răng mẻ phụ thuộc vào nhiều yếu tố như loại vật liệu trám, kỹ thuật của nha sĩ và cách chăm sóc răng miệng của bạn sau khi hàn răng. Thông thường, nha sĩ khuyên khách hàng nên lựa chọn hàn sứ thẩm mỹ hoặc hàn Composite, răng được hàn bằng composite có thể bền từ 5-7 năm, trong khi răng bọc bằng sứ có thể bền từ 10-15 năm.
Hàn răng mẻ là một giải pháp hiệu quả để phục hồi hình dáng và chức năng của răng bị hư hỏng. Chi phí hàn răng mẻ có thể dao động tùy thuộc vào nhiều yếu tố như mức độ tổn thương, loại vật liệu trám, kỹ thuật và trang thiết bị của phòng khám.
Để đảm bảo bạn nhận được dịch vụ chất lượng với chi phí hợp lý, hãy tìm hiểu kỹ về phòng khám nha khoa, so sánh giá cả và dịch vụ, cũng như kiểm tra đánh giá của các khách hàng trước đó.
Bài viết trên đây đã cung cấp những thông tin về hàn răng mẻ, hy vọng sẽ giúp bạn có sự lựa chọn tốt cho sức khỏe răng miệng của mình. Mọi thông tin chi tiết về hàn răng bị mẻ Thái Bình quý khách hàng vui lòng liên hệ với chúng tôi để được tư vấn tốt nhất:
NHA KHOA NGỌC
- GPKD số 08A8016688 do UBND TP cấp ngày 14/1/2021.
- GPHĐ số 000117/TB-GPHĐ
- BS Ngọc: 0913.833.959
- Giờ mở cửa : Sáng 8-11h, chiều 15-18h30 tất cả các ngày trong tuần
- Địa chỉ: 623 Lê Quý Đôn – Thành phố Thái Bình (đối diện cổng chính Công An tỉnh 9 tầng)
- Website: https://nhakhoathaibinh.com/
Xem thêm: