Lưu trữ thẻ: răng sứ bị viêm lợi
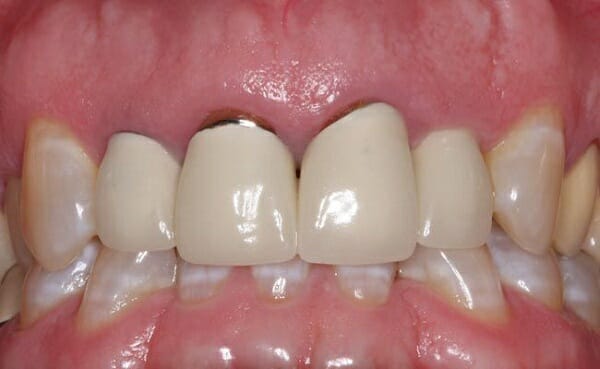
Giải đáp: Răng sứ bị viêm lợi có cần làm lại không?
Bọc răng sứ được xem là giải pháp thẩm mỹ và phục hình răng phổ...
03
Th10
Th10
Giải pháp khắc phục tình trạng răng sứ bị tụt lợi và viêm lợi
Sau khi bọc răng sứ, nhiều người gặp phải tình trạng răng sứ bị tụt...
19
Th9
Th9
Răng sứ bị viêm lợi và lung lay: Nguyên nhân, dấu hiệu và cách xử lý
Sau khi bọc răng sứ, nhiều người mong muốn sở hữu hàm răng chắc khỏe,...
03
Th9
Th9
