Răng sứ bị dắt thức ăn là một trong những tình trạng gây khó chịu nhất sau khi bọc sứ, không chỉ làm giảm trải nghiệm ăn nhai mà còn khiến nướu dễ viêm, hôi miệng và ảnh hưởng thẩm mỹ. Khi tình trạng này kéo dài, giải pháp hiệu quả nhất là làm lại răng sứ để khắc phục triệt để. Tuy nhiên, nhiều người vẫn băn khoăn không biết giá làm lại răng sứ năm 2025 bao nhiêu, có thay đổi gì so với trước và chi phí phụ thuộc vào những yếu tố nào.
Bài viết dưới đây, Nha Khoa Ngọc sẽ cập nhật giá làm lại răng sứ bị dắt thức ăn giúp bạn hiểu rõ nguyên nhân, thời điểm cần làm lại, bảng giá chi tiết và lựa chọn giải pháp phù hợp nhất.
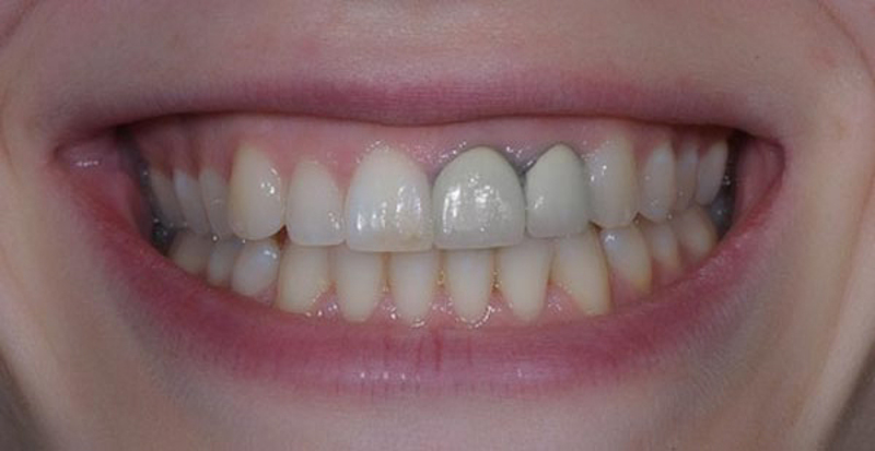
Dấu hiệu nhận biết răng sứ dắt thức ăn
Răng sứ bị dắt thức ăn là tình trạng phổ biến và thường xuyên gây khó chịu khi ăn uống. Bạn có thể nhận biết sớm thông qua các dấu hiệu sau:
Dắt thức ăn liên tục khi ăn
Nếu mỗi khi ăn bạn luôn cảm giác thức ăn mắc vào khe giữa hai răng hoặc ở vùng cổ răng sứ, rất khó lấy ra dù đã dùng chỉ nha khoa, đây là dấu hiệu rõ ràng nhất. Tình trạng này kéo dài chứng tỏ răng sứ bị hở hoặc thiết kế không sát khít, cần được kiểm tra sớm để tránh viêm nướu.
Hôi miệng, khó chịu
Khi thức ăn mắc lâu ngày sẽ phân hủy, tạo mùi khó chịu. Nếu bạn vệ sinh đầy đủ nhưng hơi thở vẫn xuất hiện mùi bất thường, rất có thể nguyên nhân đến từ việc răng sứ bị hở, làm thức ăn tích tụ ở khe răng.
Đau lợi, chảy máu khi chải răng
Nướu bị kích ứng bởi mảnh thức ăn mắc kẹt dễ dẫn đến sưng đỏ, đau nhức. Khi chải răng hoặc dùng chỉ nha khoa, nướu dễ bị tổn thương và chảy máu. Đây là dấu hiệu cho thấy viêm nướu đang hình thành và cần xử lý kịp thời để không ảnh hưởng răng thật bên trong.
Mùi hôi âm ỉ dù vệ sinh kỹ
Ngay cả khi bạn đã đánh răng, súc miệng và dùng chỉ nha khoa đầy đủ, nhưng mùi khó chịu vẫn âm ỉ không dứt – đây là cảnh báo rõ ràng của việc thức ăn bị mắc sâu ở mép răng sứ. Nếu không khắc phục, tình trạng này có thể tiến triển thành viêm nha chu hoặc nhiễm trùng nướu.

Khi nào cần làm lại răng sứ?
Làm lại răng sứ là cần thiết khi mão sứ không còn đảm bảo chức năng ăn nhai, tính thẩm mỹ hoặc gây ra các vấn đề về sức khỏe răng miệng. Dưới đây là những dấu hiệu phổ biến nhất cho thấy bạn nên kiểm tra và thay lại răng sứ càng sớm càng tốt.
Hở chân răng, dắt thức ăn mạnh
Nếu bạn cảm thấy thức ăn liên tục nhét vào kẽ răng, đặc biệt là ở vị trí răng sứ, rất có thể mão sứ đã bị hở hoặc không ôm sát cổ răng. Khe hở càng lớn thì mức độ dắt thức ăn càng nặng, gây khó chịu và dễ dẫn đến viêm nướu. Đây là dấu hiệu điển hình nhất cho thấy răng sứ cần được làm lại để tránh viêm nhiễm kéo dài.
Viêm nướu quanh chân răng sứ
Khi nướu quanh vùng bọc sứ đỏ, sưng, dễ chảy máu, có mùi hôi, nguyên nhân thường đến từ việc mão sứ bị hở hoặc vệ sinh khó khăn do khe dắt thức ăn. Viêm nướu kéo dài có thể lan rộng, gây tụt lợi hoặc tổn thương mô răng thật. Làm lại răng sứ giúp làm kín khe, phục hồi sức khỏe nướu và hạn chế vi khuẩn tích tụ.
Đau khi nhai, khớp cắn lệch
Nếu bạn cảm thấy đau, ê buốt, nhói khi nhai, hoặc phải nhai lệch sang một bên để tránh đau, có khả năng mão sứ bị sai khớp cắn. Trường hợp này không chỉ gây khó chịu mà còn làm mòn răng đối diện, ảnh hưởng cơ hàm và khớp thái dương hàm. Việc chỉnh sửa hoặc làm lại răng sứ sẽ giúp tái lập khớp cắn chuẩn và khôi phục chức năng ăn nhai.
Sứ bị nứt, mẻ, lỏng mão
Răng sứ dù bền nhưng vẫn có thể nứt, mẻ hoặc bị lỏng do va chạm mạnh, thói quen ăn đồ cứng hoặc do mão sứ đã sử dụng quá lâu. Khi mão sứ không còn chắc chắn, vi khuẩn dễ xâm nhập vào răng thật bên trong, gây sâu hoặc viêm tủy. Làm lại răng sứ giúp bảo vệ răng thật và đảm bảo độ bền lâu dài.
Mất thẩm mỹ sau thời gian sử dụng
Sau nhiều năm, răng sứ có thể ngả màu, xỉn, kém tự nhiên, hoặc không còn đồng đều với các răng còn lại. Tụt nướu cũng khiến đường viền sứ lộ rõ, làm giảm sự hài hòa khi cười. Nếu bạn muốn cải thiện nụ cười, nâng cấp chất liệu sứ đẹp hơn hoặc chỉnh lại hình dáng răng, thì việc làm lại răng sứ là lựa chọn phù hợp.

Các yếu tố ảnh hưởng đến giá làm lại răng sứ bị dắt thức ăn
Giá làm lại răng sứ bị dắt thức ăn không cố định, mà thay đổi dựa trên nhiều yếu tố khác nhau. Dưới đây là những yếu tố quan trọng nhất quyết định mức giá cuối cùng bạn phải chi trả:
Mức độ hư hại của răng sứ
Tình trạng hỏng hóc của răng sứ là yếu tố tác động trực tiếp đến chi phí:
- Hở nhẹ: Với những trường hợp chỉ hở viền nhỏ, bác sĩ có thể sửa hoặc đắp lại keo gắn mà không cần thay toàn bộ mão sứ. Chi phí sẽ thấp và quy trình diễn ra nhanh chóng.
- Hở lớn – viêm nướu: Nếu mão sứ hở nhiều, xuất hiện viêm nướu, đau nhức hoặc răng thật bị tổn thương, bác sĩ bắt buộc phải tháo mão sứ cũ và làm mới hoàn toàn. Lúc này chi phí sẽ tăng do cần thêm bước điều trị và chế tác răng sứ mới.
Tay nghề và chuyên môn của bác sĩ
Bác sĩ là yếu tố quyết định sự sát khít, độ bền và khả năng ngừa dắt thức ăn sau khi làm lại răng sứ.
Những bác sĩ chuyên sâu về phục hình, giàu kinh nghiệm hoặc master CAD/CAM thường có mức giá cao hơn.
Bù lại, kết quả đảm bảo chính xác, an toàn và giảm tối đa nguy cơ phải làm lại lần nữa.

Công nghệ chế tác răng sứ
Công nghệ càng hiện đại thì răng sứ càng chuẩn form – sát khít và đạt độ thẩm mỹ tốt.
Các hệ thống như CAD/CAM, 5D, 3D Pro cho phép thiết kế mão sứ với độ chính xác cao.
Nhờ đó, răng ôm sát đường nướu, khớp cắn chuẩn và hạn chế tối đa tình trạng dắt thức ăn.
Tuy nhiên, chi phí khi sử dụng công nghệ cao cũng sẽ nhỉnh hơn.
Chính sách bảo hành
Bảo hành là yếu tố phản ánh chất lượng của dòng răng sứ cũng như giá làm lại răng sứ bị dắt thức ăn:
- Các loại răng sứ trung – cao cấp thường có bảo hành 5–15 năm.
- Răng sứ càng cao cấp, thời gian bảo hành càng dài, chi phí cũng sẽ cao hơn.
- Nha khoa uy tín luôn cung cấp thẻ bảo hành điện tử và thông tin rõ ràng giúp bạn an tâm sử dụng.
Lời khuyên giúp tiết kiệm chi phí khi làm lại răng sứ
Làm lại răng sứ có thể phát sinh nhiều khoản chi nếu tình trạng răng hư hại nặng. Tuy nhiên, bạn hoàn toàn có thể giảm tối đa chi phí bằng những lưu ý dưới đây:
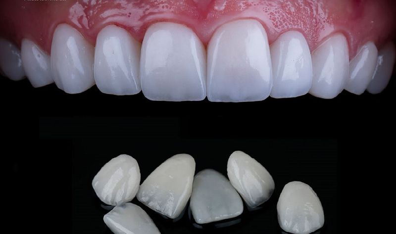
Ưu tiên chọn răng toàn sứ để tránh hở – thâm nướu – dắt thức ăn
Răng toàn sứ có độ sát khít cao, ổn định lâu dài và không gây thâm viền nướu như răng sườn kim loại. Nhờ vậy, bạn hạn chế tối đa các lỗi như hở cổ răng, dắt thức ăn hoặc phải làm lại nhiều lần. Về lâu dài, đây là lựa chọn tiết kiệm chi phí nhất.
Kiểm tra răng định kỳ mỗi 6 tháng
Khám răng thường xuyên giúp phát hiện sớm các dấu hiệu hở mão sứ, viêm nướu hoặc lệch khớp cắn. Nếu xử lý ngay từ đầu, chi phí sẽ thấp hơn rất nhiều so với khi để răng bị hỏng nặng buộc phải làm lại toàn bộ.
Hạn chế nhai đá, xương cứng
Nhai đá lạnh, xương cứng hay mở nắp chai bằng răng có thể khiến mão sứ bị sứt, hở viền hoặc lung lay. Việc tránh những thói quen này giúp tăng tuổi thọ răng sứ và tiết kiệm chi phí sửa chữa về sau.
Chọn nha khoa uy tín, có bảo hành rõ ràng
Nha khoa chất lượng cao luôn có quy trình chuẩn, bác sĩ tay nghề tốt và chính sách bảo hành minh bạch. Khi có vấn đề phát sinh, bạn sẽ được xử lý miễn phí theo điều khoản bảo hành, tránh mất thêm chi phí không cần thiết.
Giữ lại phim X-quang cũ để được đánh giá lại
Phim X-quang trước đây giúp bác sĩ theo dõi tình trạng răng thật bên trong và so sánh chính xác hơn khi bạn quay lại tái khám. Nhiều nha khoa hỗ trợ đọc lại phim miễn phí, từ đó bạn tiết kiệm được chi phí chụp X-quang mới.
Hỏi kỹ bác sĩ về tình trạng răng thật bên trong để tránh phát sinh
Trước khi làm lại răng sứ, bạn nên hỏi rõ về:
- Tình trạng răng thật
- Có cần điều trị tủy không
- Có viêm nướu hay tiêu xương không
- Có cần thay toàn bộ hay chỉ sửa một phần
Răng sứ bị hư, hở hoặc dắt thức ăn không chỉ gây khó chịu khi ăn uống mà còn tiềm ẩn nhiều nguy cơ như hôi miệng, viêm nướu hay ảnh hưởng răng thật bên trong. Việc làm lại răng sứ càng sớm thì giá làm lại răng sứ bị dắt thức ăn càng thấp và kết quả phục hình càng đảm bảo.
Để tiết kiệm chi phí, bạn nên ưu tiên chọn răng toàn sứ chất lượng, thăm khám định kỳ và tìm đến nha khoa uy tín có bảo hành rõ ràng. Đồng thời, lắng nghe tư vấn từ bác sĩ về tình trạng răng thật để tránh những phát sinh không cần thiết.
NHA KHOA NGỌC
- GPKD số 08A8016688 do UBND TP cấp ngày 14/1/2021.
- GPHĐ số 000117/TB-GPHĐ
- BS Ngọc: 0913.833.959
- Giờ mở cửa : Sáng 8-11h, chiều 15-18h30 tất cả các ngày trong tuần
- Địa chỉ: 623 Lê Quý Đôn – Thành phố Thái Bình (đối diện cổng chính Công An tỉnh 9 tầng)
- Website: https://nhakhoathaibinh.com/
Xem thêm:
- Thiết kế nụ cười Thái Bình: Giải pháp hoàn hảo cho nụ cười của bạn
- Răng sứ bị viêm lợi và lung lay: Nguyên nhân, dấu hiệu và cách xử lý
- Điều trị viêm lợi do răng sứ: Lời khuyên từ bác sĩ nha khoa
- 5 bí quyết phòng ngừa viêm lợi răng sứ an toàn và bền lâu
- Viêm lợi sau bọc răng sứ: Dấu hiệu nhận biết sớm và cách xử lý kịp thời
