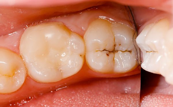
Hàn răng sâu vào tủy Thái Bình là phương pháp phục hình răng được áp dụng khi răng bị sâu nặng, tổn thương đến tủy răng sau khi đã điều trị tủy. Trong trường hợp này, bác sĩ sẽ tiến hành làm sạch toàn bộ phần tủy viêm nhiễm, trám bít ống tủy, sau đó hàn răng bằng vật liệu chuyên dụng để khôi phục hình dáng và chức năng của răng.
Dấu hiệu của răng sâu vào tủy
Khi sâu răng đã lan đến tủy, người bệnh thường gặp phải cảm giác đau buốt dữ dội, gây khó khăn trong việc ăn uống và ảnh hưởng nghiêm trọng đến sinh hoạt thường ngày. Cơn đau có xu hướng gia tăng theo thời gian.
Dưới đây là một số dấu hiệu điển hình giúp bạn nhận biết tình trạng này:
Giai đoạn đầu
Bạn có thể cảm nhận răng nhạy cảm hơn bình thường, đặc biệt là khi ăn đồ nóng, lạnh, hít phải gió mạnh hoặc khi áp suất thay đổi. Đôi khi xuất hiện những cơn đau nhức thoáng qua khiến bạn dần có thói quen tránh nhai bên có răng bị đau. Tuy nhiên, do triệu chứng chưa rõ ràng nên thường dễ bị bỏ qua ở giai đoạn này.

Giai đoạn tiếp theo
Cảm giác đau nhức răng trở nên rõ rệt và nghiêm trọng hơn. Cơn đau có thể âm ỉ liên tục ở một vùng rộng hoặc bùng phát thành từng cơn dữ dội, lan lên vùng đầu, đặc biệt tăng nặng vào ban đêm.
Việc sử dụng thuốc giảm đau thường không mang lại hiệu quả. Do đau lan rộng, người bệnh khó xác định chính xác chiếc răng nào là nguyên nhân. Cơn đau kéo dài khiến bạn khó ngủ, ăn uống kém, ảnh hưởng trực tiếp đến sinh hoạt hàng ngày.

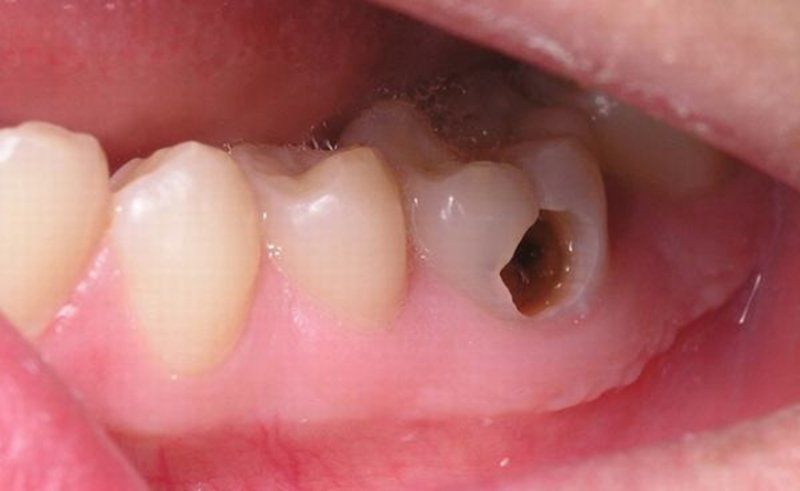
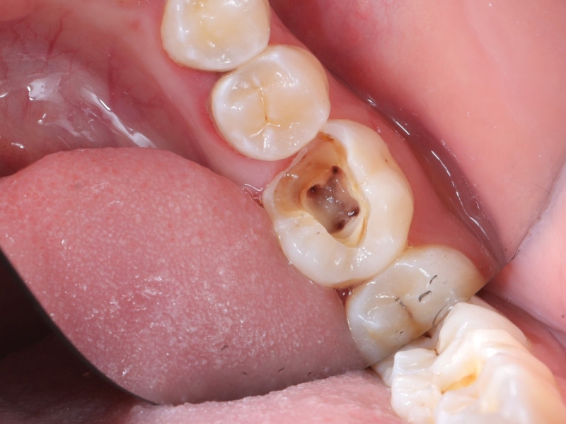
Giai đoạn sau
Nếu viêm tủy không được điều trị kịp thời, cơn đau có thể tạm thời biến mất do tủy đã hoại tử. Tuy nhiên, tình trạng hôi miệng có thể xuất hiện vì thức ăn mắc kẹt trong lỗ sâu. Do tránh nhai bên răng bị tổn thương, nướu quanh khu vực đó cũng như các răng lân cận có thể bị viêm.
Theo thời gian, chiếc răng bị sâu sẽ tiếp tục suy yếu, dễ bị vỡ hoặc gãy vì cấu trúc cứng đã bị phá hủy nghiêm trọng. Bạn có thể nhận thấy lợi xuất hiện nốt trắng, có ổ mủ hoặc mủ rỉ ra ở vùng lợi gần chân răng, răng lung lay, thậm chí mặt có thể bị sưng. Ở giai đoạn này, cơn đau có thể xuất hiện trở lại hoặc đôi khi không còn cảm giác đau nữa.
Hàn răng sâu vào tủy Thái Bình – Giải đáp thắc mắc từ nha sĩ
Dưới đây là những câu hỏi thường gặp liên quan đến quá trình điều trị hàn răng sâu vào tủy Thái Bình:
Răng sâu để lâu có sao không?
Răng sâu nếu như để lâu ngày vào tủy thì sẽ dẫn đến viêm tủy cùng nhưng biến chứng khác. Nên nếu không được điều trị sớm sẽ gây nhiều biến chứng ảnh hưởng nghiêm trọng đến sức khỏe răng miệng và toàn thân.
Răng sâu vào tủy có hàn được không?
Có hàn được không còn tùy vào mức độ tổn thương của răng. Nếu răng sâu nhẹ, thì sẽ tiến hành hàn răng. Còn răng sâu bị vỡ lớn và đã lan vào tủy thì bắt buộc phải điều trị tủy trước khi hàn.
Nếu răng bị sâu cụt ngang hoặc sâu xuống dưới lợi, bác sĩ có thể phải cắm chốt để phục hình. Trong những trường hợp không thể giữ lại, cần nhổ bỏ để tránh viêm nhiễm, đau nhức và ảnh hưởng đến các răng lân cận.

Điều trị răng sâu vào tủy có đau không?
Trước khi điều trị hàn răng sâu vào tủy, bác sĩ sẽ tiến hành gây tê nên bạn sẽ không cảm thấy đau. Sau khi thuốc tê hết tác dụng, có thể xuất hiện cảm giác ê hoặc hơi khó chịu nhẹ, nhưng hoàn toàn trong mức chịu đựng được. Chỉ cần chăm sóc đúng cách theo hướng dẫn của bác sĩ, tình trạng này sẽ nhanh chóng biến mất và bạn có thể sinh hoạt bình thường trở lại.
Đừng quên thăm khám định kỳ và chăm sóc răng đúng cách để duy trì kết quả lâu dài nhé!
NHA KHOA NGỌC
- GPKD số 08A8016688 do UBND TP cấp ngày 14/1/2021.
- GPHĐ số 000117/TB-GPHĐ
- BS Ngọc: 0913.833.959
- Giờ mở cửa : Sáng 8-11h, chiều 15-18h30 tất cả các ngày trong tuần
- Địa chỉ: 623 Lê Quý Đôn – Thành phố Thái Bình (đối diện cổng chính Công An tỉnh 9 tầng)
- Website: https://nhakhoathaibinh.com/
Xem thêm:
