Bạn vừa bọc răng sứ để cải thiện nụ cười, nhưng sau một thời gian lại gặp tình trạng nướu sưng đỏ, đau nhức, thậm chí chảy máu? Đây chính là dấu hiệu của răng sứ bị viêm – một vấn đề không hiếm gặp, có thể ảnh hưởng đến cả thẩm mỹ lẫn sức khỏe răng miệng nếu không điều trị kịp thời. Nguyên nhân có thể xuất phát từ kỹ thuật bọc sứ chưa chuẩn, chất liệu răng không phù hợp, hoặc đơn giản là việc chăm sóc răng miệng chưa đúng cách.
Trong bài viết này, chúng ta sẽ cùng tìm hiểu liệu trình điều trị răng sứ bị viêm chi tiết giúp bạn nắm rõ quy trình, biết cách chăm sóc và phòng ngừa để răng sứ luôn bền đẹp, khỏe mạnh theo thời gian.
Nguyên nhân khiến răng sứ bị viêm
Răng sứ bị viêm là tình trạng khá phổ biến sau khi phục hình thẩm mỹ, gây sưng đau, chảy máu và khó chịu cho người bệnh. Để điều trị hiệu quả và phòng ngừa tái phát, trước hết cần hiểu rõ những nguyên nhân chính dẫn đến hiện tượng này.
Kỹ thuật bọc sứ sai
Một trong những nguyên nhân hàng đầu khiến răng sứ bị viêm là do kỹ thuật bọc không chuẩn. Trường hợp bác sĩ mài răng quá nhiều, lắp mão sứ không khít sát với nướu sẽ tạo ra khe hở. Kẽ hở này dễ dắt thức ăn, hình thành mảng bám và ổ vi khuẩn gây viêm lợi. Ngoài ra, việc chỉnh khớp cắn không chuẩn cũng làm răng sứ chịu áp lực lớn, gây đau nhức và tổn thương mô nướu.
Chất liệu răng sứ kém chất lượng
Không phải loại sứ nào cũng tương thích với cơ thể. Một số răng sứ giá rẻ, kém chất lượng có thể chứa tạp chất hoặc kim loại dễ gây kích ứng nướu, dẫn đến đỏ, sưng, thậm chí viêm nhiễm kéo dài. Vì vậy, lựa chọn răng sứ cao cấp, an toàn sinh học luôn là yếu tố quan trọng để bảo vệ sức khỏe răng miệng.
Vệ sinh răng miệng chưa đúng cách
Sau khi bọc sứ, nhiều người lơ là việc chăm sóc răng miệng hoặc vệ sinh chưa đúng kỹ thuật. Chải răng qua loa, không dùng chỉ nha khoa hoặc không súc miệng diệt khuẩn khiến mảng bám và vi khuẩn dễ tích tụ quanh răng sứ. Lâu ngày, chúng sẽ tấn công vào lợi, gây viêm đỏ, sưng đau và hôi miệng.

Các bệnh lý răng miệng chưa điều trị dứt điểm trước khi bọc sứ
Nếu trước khi bọc sứ, bạn còn tồn tại các bệnh lý như sâu răng, viêm tủy, viêm nha chu nhưng chưa được xử lý triệt để, nguy cơ viêm quanh răng sứ là rất cao. Bởi khi phần gốc răng hoặc nướu chưa khỏe mạnh, việc lắp răng sứ chỉ che phủ bề mặt mà không giải quyết tận gốc nguyên nhân, khiến tình trạng viêm tái phát và ngày càng nặng hơn.
Dấu hiệu nhận biết răng sứ bị viêm
Viêm quanh răng sứ không chỉ gây khó chịu trong sinh hoạt hằng ngày mà còn ảnh hưởng trực tiếp đến tuổi thọ của mão sứ. Việc phát hiện sớm các dấu hiệu bất thường sẽ giúp bạn kịp thời đi khám và điều trị, tránh biến chứng nặng hơn. Dưới đây là những triệu chứng thường gặp nhất:
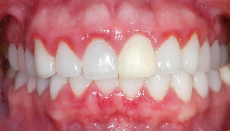
Lợi sưng đỏ, dễ chảy máu khi chải răng
Đây là dấu hiệu điển hình và dễ nhận biết nhất. Khi nướu bị viêm, lợi quanh răng sứ thường sưng phồng, chuyển sang màu đỏ sẫm thay vì hồng nhạt tự nhiên. Chỉ cần tác động nhẹ khi chải răng hoặc ăn nhai, nướu cũng có thể chảy máu.
Đau nhức quanh chân răng sứ
Người bị viêm lợi quanh răng sứ thường có cảm giác đau âm ỉ hoặc nhức buốt tại khu vực này. Cơn đau có thể tăng lên khi ăn đồ cứng, nóng, lạnh hoặc khi dùng lực mạnh tác động lên răng.
Có mùi hôi miệng khó chịu
Viêm lợi quanh răng sứ thường đi kèm tình trạng mùi hôi miệng. Nguyên nhân là do vi khuẩn phát triển mạnh trong kẽ hở giữa răng sứ và nướu, hình thành mảng bám, gây mùi khó chịu ngay cả khi bạn đã đánh răng thường xuyên.
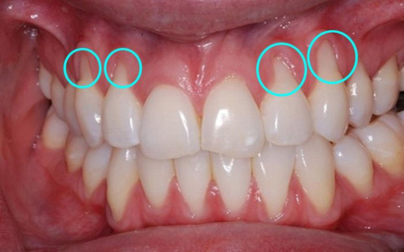
Cảm giác cộm, răng lỏng hoặc hở kẽ
Khi răng sứ không khít sát hoặc do viêm lợi kéo dài, bạn sẽ cảm thấy răng bị cộm, không tự nhiên. Một số trường hợp răng sứ còn bị lỏng, lung lay hoặc hở kẽ, khiến thức ăn dễ mắc lại, làm tình trạng viêm nặng hơn.

Quy trình điều trị răng sứ bị viêm chi tiết từ A đến Z
Việc điều trị răng sứ bị viêm cần tiến hành theo một liệu trình khoa học và chuẩn y khoa, nhằm loại bỏ ổ viêm, bảo tồn răng thật và phục hồi tính thẩm mỹ cho nụ cười. Dưới đây là quy trình chi tiết bạn nên biết:
Thăm khám & chẩn đoán
Bước đầu tiên và quan trọng nhất là kiểm tra tổng quát tình trạng răng miệng:
- Chụp X-quang để xác định tình trạng chân răng, xương hàm.
- Đánh giá mức độ viêm lợi, có kèm theo viêm nha chu hay không.
- Xác định nguyên nhân gây viêm: do kỹ thuật bọc sứ, do chất liệu sứ, hay do chăm sóc răng miệng chưa đúng cách.
Việc chẩn đoán chính xác giúp bác sĩ đưa ra phác đồ điều trị phù hợp, tránh tái phát.
Làm sạch và xử lý viêm lợi
Khi đã xác định tình trạng viêm, bác sĩ sẽ tiến hành:
- Lấy cao răng và mảng bám quanh răng sứ – nguyên nhân chính gây viêm lợi.
- Sử dụng thuốc kháng viêm, kháng khuẩn tại chỗ để giảm sưng, tiêu viêm.
- Với trường hợp viêm nặng, có dấu hiệu tụt lợi hoặc tiêu xương, bác sĩ có thể chỉ định điều trị nha chu chuyên sâu.

Điều chỉnh hoặc tháo bỏ răng sứ lỗi
Trong nhiều trường hợp, răng sứ không khít, lắp sai kỹ thuật là nguyên nhân khiến viêm kéo dài. Khi đó:
- Bác sĩ sẽ điều chỉnh lại mão sứ nếu có thể.
- Nếu tình trạng quá nặng, cần tháo bỏ răng sứ cũ, xử lý và phục hồi cùi răng.
- Trường hợp răng thật bị tổn thương hoặc nhiễm trùng tủy, cần điều trị tủy trước khi phục hình lại.
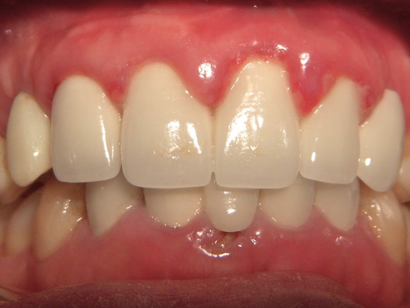
Bọc răng sứ mới (nếu phải thay)
Sau khi xử lý triệt để viêm, bệnh nhân có thể được chỉ định bọc lại răng sứ mới:
- Chọn loại răng sứ cao cấp, an toàn sinh học như Zirconia, Emax để hạn chế kích ứng nướu.
- Thực hiện mài chỉnh cùi răng chuẩn xác, đảm bảo mão sứ ôm khít với lợi.
- Lấy dấu răng, chế tác và lắp mão sứ mới bằng công nghệ hiện đại.
Hướng dẫn chăm sóc sau điều trị
Sau khi điều trị, để tránh viêm tái phát, người bệnh cần tuân thủ hướng dẫn của bác sĩ:
- Vệ sinh răng miệng đúng cách: chải răng ít nhất 2 lần/ngày, dùng chỉ nha khoa và súc miệng diệt khuẩn.
- Tái khám định kỳ để theo dõi tình trạng nướu và độ bền của răng sứ.
- Hạn chế thức ăn quá cứng, quá ngọt hoặc nhiều màu thực phẩm trong giai đoạn đầu để bảo vệ mão sứ.
Quy trình điều trị răng sứ bị viêm không quá phức tạp nhưng đòi hỏi bác sĩ có tay nghề cao và trang thiết bị hiện đại. Người bệnh tuyệt đối không nên tự ý dùng thuốc tại nhà mà cần đến nha khoa uy tín để được điều trị đúng cách.
Để biết thêm thông tin chi tiết về điều trị răng sứ, quý khách hàng vui lòng liên hệ với Nha Khoa Ngọc để được tư vấn và hỗ trợ tốt nhất.
NHA KHOA NGỌC
- GPKD số 08A8016688 do UBND TP cấp ngày 14/1/2021.
- GPHĐ số 000117/TB-GPHĐ
- BS Ngọc: 0913.833.959
- Giờ mở cửa : Sáng 8-11h, chiều 15-18h30 tất cả các ngày trong tuần
- Địa chỉ: 623 Lê Quý Đôn – Thành phố Thái Bình (đối diện cổng chính Công An tỉnh 9 tầng)
- Website: https://nhakhoathaibinh.com/
Xem thêm:
- Chi phí hàn răng mẻ Thái Bình phụ thuộc vào những yếu tố nào?
- Hàn răng Thái Bình: Giải pháp phục hồi răng nhanh chóng và hiệu quả
- Những câu hỏi thường gặp về hàn răng bị mẻ Thái Bình
- Máng hướng dẫn phẫu thuật cấy ghép implant tại Thái Bình
- Thiết kế nụ cười Thái Bình: Giải pháp hoàn hảo cho nụ cười của bạn
