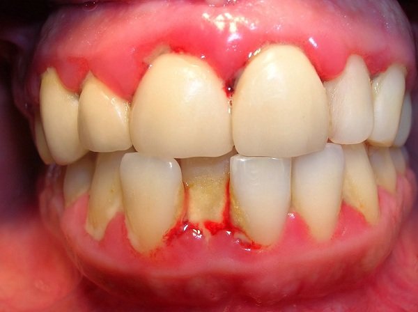
Sau khi bọc răng sứ, nhiều người kỳ vọng có được hàm răng trắng sáng, bền chắc và nụ cười tự tin hơn. Tuy nhiên, không ít trường hợp lại gặp phải tình trạng răng sứ bị đỏ lợi và sưng đau, gây khó chịu, đau nhức và ảnh hưởng nghiêm trọng đến sinh hoạt hàng ngày. Đây không chỉ là vấn đề thẩm mỹ hay cảm giác khó chịu tạm thời, mà còn có thể là dấu hiệu cảnh báo những biến chứng nguy hiểm nếu không được xử lý kịp thời.
Nguyên nhân răng sứ bị đỏ lợi và sưng đau
Răng sứ mang lại nhiều lợi ích về thẩm mỹ và chức năng nhai, nhưng nếu sau khi bọc mà xuất hiện tình trạng viêm lợi, lung lay thì chắc chắn đang có vấn đề. Dưới đây là những nguyên nhân thường gặp:
Kỹ thuật bọc răng sứ sai
Mài răng quá nhiều: Khi bác sĩ mài răng quá mức sẽ làm yếu trụ răng thật bên trong, không đủ khả năng nâng đỡ mão sứ, khiến răng dễ lung lay.
Lắp mão sứ không khít: Nếu mão sứ không ôm sát viền nướu, sẽ tạo khe hở cho thức ăn và vi khuẩn bám lại, gây viêm lợi, sưng đỏ và hôi miệng.

Chất lượng răng sứ kém
Vật liệu không tương thích sinh học: Một số loại răng sứ giá rẻ có thể gây kích ứng nướu, làm lợi bị viêm đỏ và dễ tụt lợi.
Răng sứ kém bền: Dễ nứt, vỡ hoặc bong tróc trong quá trình ăn nhai, khiến răng sứ mất độ ổn định và lung lay.
Chăm sóc răng miệng chưa đúng cách
Không vệ sinh kỹ vùng kẽ răng: Sau khi bọc sứ, nếu không làm sạch mảng bám kỹ lưỡng, vi khuẩn sẽ tích tụ gây viêm lợi.
Thói quen dùng tăm xỉa mạnh: Tác động trực tiếp vào mô nướu, làm nướu tổn thương, tụt lợi và khiến răng sứ dần lung lay.
Các bệnh lý răng miệng tiềm ẩn
Viêm nha chu, tiêu xương ổ răng: Đây là nguyên nhân hàng đầu khiến răng sứ bị lung lay, do phần nâng đỡ chân răng dần mất đi.
Sâu răng trụ bên dưới mão sứ: Nếu răng thật bị sâu mà không được điều trị triệt để trước khi bọc sứ, về lâu dài sẽ ảnh hưởng đến độ chắc chắn của răng sứ.

Biến chứng khi răng sứ bị đỏ lợi và sưng đau
Răng sứ bị đỏ lợi không chỉ gây khó chịu tạm thời mà còn tiềm ẩn nhiều biến chứng nguy hiểm nếu người bệnh chủ quan. Một số ảnh hưởng thường gặp gồm:
Ảnh hưởng thẩm mỹ
Viêm lợi khiến nướu sưng đỏ, chảy máu, thậm chí tụt lợi để lộ viền răng sứ, làm mất đi tính tự nhiên và hài hòa của nụ cười.
Gây đau nhức, khó ăn nhai
Tình trạng này khiến người bệnh thường xuyên bị ê buốt, đau nhức khi ăn uống. Điều này ảnh hưởng trực tiếp đến chất lượng bữa ăn và sinh hoạt hàng ngày.
Nguy cơ mất răng sứ hoặc răng thật bên trong
Nếu không được xử lý kịp thời, răng sứ có thể bong bật, thậm chí răng thật bên dưới cũng bị tổn thương nặng, dẫn đến mất răng.
Lan rộng sang răng khác
Vi khuẩn từ vùng lợi viêm có thể lây lan, gây viêm lợi hoặc viêm nha chu toàn hàm, khiến nhiều răng khác cũng bị lung lay theo.
Tác động đến sức khỏe toàn thân
Vi khuẩn từ túi lợi viêm có thể đi vào máu, gây ra nhiều vấn đề khác như hôi miệng, viêm họng, thậm chí tăng nguy cơ ảnh hưởng đến tim mạch và hệ miễn dịch.
Cách xử lý khi lợi bị đỏ và sưng đau quanh răng sứ
Tình trạng lợi bị đỏ, sưng đau quanh răng sứ không chỉ gây khó chịu mà còn tiềm ẩn nguy cơ viêm nhiễm và ảnh hưởng đến tuổi thọ răng sứ. Để khắc phục hiệu quả, bạn có thể tham khảo các cách xử lý sau:
Thăm khám nha khoa ngay để tìm nguyên nhân
Khi phát hiện dấu hiệu bất thường, việc đến nha khoa kịp thời là bước quan trọng nhất. Bác sĩ sẽ kiểm tra tình trạng răng sứ, nướu và xác định nguyên nhân chính xác để đưa ra phương án điều trị phù hợp.
Điều trị viêm lợi
Nếu tình trạng sưng đỏ do viêm lợi, bác sĩ thường chỉ định lấy cao răng, làm sạch mảng bám và có thể kê thêm thuốc kháng viêm, kháng sinh để kiểm soát vi khuẩn gây bệnh.

Điều chỉnh hoặc thay răng sứ mới
Trong trường hợp lợi bị tổn thương do mão sứ lắp sai kỹ thuật hoặc chất lượng sứ kém, bác sĩ sẽ tiến hành điều chỉnh hoặc thay răng sứ mới để đảm bảo sự khít sát và an toàn cho nướu.
Điều trị bệnh lý nền
Nếu phát hiện các bệnh lý răng miệng tiềm ẩn như viêm nha chu, sâu răng trụ bên dưới mão sứ, cần phải điều trị triệt để để tránh tái phát tình trạng sưng đau.
Chăm sóc tại nhà đúng cách
Song song với điều trị tại nha khoa, bạn cần duy trì chế độ vệ sinh răng miệng khoa học:
- Súc miệng bằng nước muối sinh lý hoặc dung dịch súc miệng chuyên dụng.
- Dùng bàn chải lông mềm, chải răng nhẹ nhàng.
- Sử dụng chỉ nha khoa hoặc máy tăm nước để làm sạch kẽ răng, tránh tổn thương nướu.
Thăm khám nha khoa định kỳ
Thăm khám răng bọc sứ định kỳ là bước quan trọng để bác sĩ kiểm tra, theo dõi và can thiệp kịp thời nếu có rủi ro. Qua đó, đảm bảo quá trình phục hình răng diễn ra thuận lợi, mang đến bạn ‘nụ cười’ hoàn mỹ, khỏe mạnh.
Khi bọc răng sứ tại Nha Khoa Ngọc, trong và sau quá trình điều trị các nhân viên luôn gọi điện nhắc bệnh nhân lịch hẹn tái khám. Đồng thời, bác sĩ luôn theo dõi sát sao quá trình tương thích của mão sứ với cùi răng để hỗ trợ khách hàng kịp thời.
Với những chia sẻ trên, bạn đã biết được nguyên nhân và cách khắc phục tình trạng răng sứ bị đỏ lợi và sưng đau. Để quá trình phục hình thẩm mỹ răng diễn ra suôn sẻ, tránh răng bọc sứ bị lung lay bạn nên tìm đến nha khoa uy tín, chuyên sâu để thực hiện. Nếu có nhu cầu bọc răng sứ thẩm mỹ, bạn hãy liên hệ Nha Khoa Ngọc để đặt hẹn thăm khám cùng đội ngũ bác sĩ chuyên khoa hàng đầu thực hiện.
NHA KHOA NGỌC
- GPKD số 08A8016688 do UBND TP cấp ngày 14/1/2021.
- GPHĐ số 000117/TB-GPHĐ
- BS Ngọc: 0913.833.959
- Giờ mở cửa : Sáng 8-11h, chiều 15-18h30 tất cả các ngày trong tuần
- Địa chỉ: 623 Lê Quý Đôn – Thành phố Thái Bình (đối diện cổng chính Công An tỉnh 9 tầng)
- Website: https://nhakhoathaibinh.com/
Xem thêm:
- Hàn răng Thái Bình: Giải pháp phục hồi răng nhanh chóng và hiệu quả
- Những câu hỏi thường gặp về hàn răng bị mẻ Thái Bình
- Máng hướng dẫn phẫu thuật cấy ghép implant tại Thái Bình
- Thiết kế nụ cười Thái Bình: Giải pháp hoàn hảo cho nụ cười của bạn
- Răng sứ bị viêm lợi và lung lay: Nguyên nhân, dấu hiệu và cách xử lý
