Sau khi bọc răng sứ, nhiều người gặp tình trạng răng sứ bị hở kẽ dắt thức ăn liên tục khiến việc ăn uống trở nên khó chịu và nướu dễ bị viêm. Đây không chỉ là vấn đề thẩm mỹ hay vệ sinh đơn thuần, mà còn là dấu hiệu cảnh báo răng sứ bị lỗi hoặc lắp sai kỹ thuật. Nếu không xử lý kịp thời, khe hở giữa răng sứ và răng thật có thể gây sâu kẽ, hôi miệng, thậm chí ảnh hưởng đến tuổi thọ của răng sứ.
Bài viết dưới đây Nha Khoa Ngọc sẽ giúp bạn hiểu rõ nguyên nhân, dấu hiệu nhận biết và cách khắc phục hiệu quả khi răng sứ bị hở kẽ, dắt thức ăn.
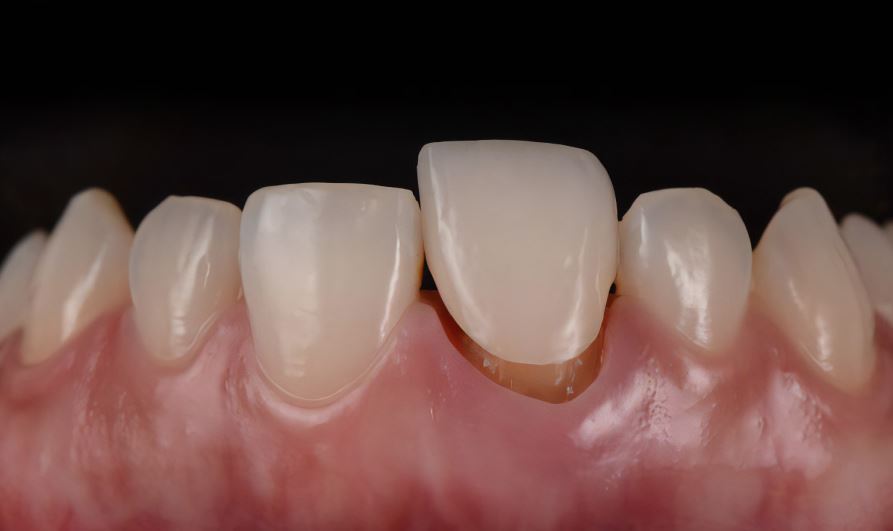
Dấu hiệu nhận biết răng sứ bị hở kẽ dắt thức ăn
Răng sứ bị hở kẽ là tình trạng khá phổ biến sau khi bọc sứ, nhưng nhiều người lại chủ quan vì nghĩ chỉ là vấn đề nhỏ. Trên thực tế, đây là dấu hiệu cho thấy mão sứ không khít sát với răng thật hoặc răng sứ đã xuống cấp, cần được kiểm tra sớm. Dưới đây là những biểu hiện thường gặp nhất:
Thức ăn thường xuyên mắc lại giữa các răng sứ
Nếu mỗi lần ăn bạn đều phải dùng tăm hoặc chỉ nha khoa để lấy thức ăn ra thì rất có thể khe hở giữa các răng sứ đã hình thành. Lâu ngày, mảng bám sẽ tích tụ, gây hôi miệng và viêm nướu.
Có cảm giác hôi miệng, khó chịu khi ăn nhai
Thức ăn mắc kẽ không được làm sạch sẽ phân hủy, tạo ra mùi hôi khó chịu. Đây là dấu hiệu sớm của việc răng sứ bị hở và nướu bắt đầu viêm nhẹ.

Viền nướu quanh răng sứ bị viêm, đỏ hoặc chảy máu
Khi viền nướu bị tổn thương do thức ăn kẹt lâu ngày, bạn sẽ thấy lợi sưng đỏ, dễ chảy máu khi chải răng. Nếu để lâu, nướu có thể tụt xuống, làm lộ viền răng thật bên dưới.
Răng sứ lung lay nhẹ, dễ kẹt chỉ nha khoa
Răng sứ chuẩn phải ôm khít và chắc với cùi răng thật. Nếu bạn thấy răng sứ hơi lung lay hoặc chỉ nha khoa dễ mắc kẹt, đó là dấu hiệu sứ bị lỏng, keo gắn đã yếu hoặc mão sứ chế tác không chuẩn.
Khi soi gương thấy khe hở nhỏ giữa răng sứ và răng thật
Khe hở này có thể rất mảnh nhưng lại là “ổ” giữ mảng bám, gây sâu kẽ và hôi miệng. Đặc biệt, khi ánh sáng chiếu vào có thể thấy rõ ranh giới giữa răng sứ và răng thật.
Nếu có từ 2 dấu hiệu trở lên, bạn nên đến nha khoa uy tín kiểm tra ngay. Việc phát hiện sớm sẽ giúp xử lý kịp thời, tránh viêm lợi, sâu răng tái phát và giữ được tuổi thọ của răng sứ lâu dài.

Tác hại nếu không xử lý sớm răng sứ bị hở kẽ dắt thức ăn
Nhiều người khi gặp tình trạng răng sứ bị hở kẽ thường chủ quan, chỉ vệ sinh tạm thời tại nhà mà không đến nha khoa kiểm tra. Tuy nhiên, khe hở dù nhỏ cũng có thể gây ra hàng loạt hậu quả nghiêm trọng cho cả răng sứ lẫn răng thật bên dưới nếu không được xử lý kịp thời.
Viêm nướu, tụt lợi, làm lộ chân răng thật
Thức ăn mắc lại lâu ngày là môi trường lý tưởng cho vi khuẩn phát triển, gây viêm nướu và sưng đau quanh răng sứ. Nếu tình trạng kéo dài, nướu có thể bị tụt, lộ ra phần chân răng thật, vừa mất thẩm mỹ vừa tăng nguy cơ ê buốt, nhạy cảm răng.
Sâu kẽ răng thật bên dưới răng sứ
Khi keo gắn sứ bị hở, vi khuẩn và mảng bám dễ xâm nhập vào bên trong, gây sâu ngầm ở răng thật. Đây là loại sâu răng khó phát hiện bằng mắt thường, chỉ khi đau nhức hoặc răng sứ bị bong mới nhận ra — lúc đó việc điều trị sẽ phức tạp và tốn kém hơn nhiều.
Hôi miệng mãn tính do thức ăn phân hủy trong khe
Thức ăn mắc kẹt trong khe hở sẽ phân hủy và tạo mùi hôi, dù bạn có đánh răng thường xuyên vẫn khó khử hết. Tình trạng này kéo dài không chỉ ảnh hưởng giao tiếp mà còn là dấu hiệu cảnh báo viêm nhiễm nặng quanh răng sứ.
Ảnh hưởng thẩm mỹ và khớp cắn, giảm tuổi thọ răng sứ
Răng sứ bị hở kẽ có thể mất dáng, lệch khớp cắn, làm việc ăn nhai không còn cân bằng. Bên cạnh đó, va chạm sai lực nhai lâu ngày khiến mão sứ dễ nứt vỡ, rút ngắn tuổi thọ răng.

Trường hợp nặng phải tháo răng sứ và làm lại toàn bộ
Nếu viêm nhiễm lan rộng hoặc răng thật bên trong bị sâu, bác sĩ buộc phải tháo bỏ toàn bộ răng sứ cũ, điều trị lại răng thật rồi mới phục hình lại. Quá trình này tốn nhiều thời gian, chi phí và gây khó chịu cho người bệnh.
Đừng chủ quan với tình trạng răng sứ bị hở kẽ, dắt thức ăn. Xử lý sớm không chỉ giúp bảo vệ răng thật mà còn duy trì vẻ đẹp và độ bền của răng sứ lâu dài.
Răng sứ bị hở kẽ dắt thức ăn không chỉ gây khó chịu trong sinh hoạt hằng ngày mà còn là dấu hiệu cảnh báo răng sứ bị lỗi. Nếu không xử lý sớm, tình trạng này có thể dẫn đến viêm nướu, hôi miệng, sâu răng tái phát, thậm chí phải tháo bỏ và làm lại răng sứ.
Ngay khi nhận thấy các dấu hiệu bất thường như thức ăn thường xuyên mắc kẽ, hôi miệng hay viêm lợi, bạn nên đến nha khoa uy tín để được thăm khám và điều trị răng sứ kịp thời.
Tuyệt đối không tự xử lý tại nhà bằng cách dùng tăm, vật nhọn hoặc tự mài chỉnh răng sứ, vì điều đó chỉ khiến khe hở lớn hơn và làm tổn thương nướu.
Chăm sóc và kiểm tra định kỳ là cách tốt nhất để giữ răng sứ luôn bền đẹp, chắc khỏe và an toàn lâu dài.
Hãy đi khám nha khoa ngay khi nhận thấy các dấu hiệu bất thường để được xử lý kịp thời.
NHA KHOA NGỌC
- GPKD số 08A8016688 do UBND TP cấp ngày 14/1/2021.
- GPHĐ số 000117/TB-GPHĐ
- BS Ngọc: 0913.833.959
- Giờ mở cửa : Sáng 8-11h, chiều 15-18h30 tất cả các ngày trong tuần
- Địa chỉ: 623 Lê Quý Đôn – Thành phố Thái Bình (đối diện cổng chính Công An tỉnh 9 tầng)
- Website: https://nhakhoathaibinh.com/
Xem thêm:
- Thiết kế nụ cười Thái Bình: Giải pháp hoàn hảo cho nụ cười của bạn
- Răng sứ bị viêm lợi và lung lay: Nguyên nhân, dấu hiệu và cách xử lý
- Điều trị viêm lợi do răng sứ: Lời khuyên từ bác sĩ nha khoa
- 5 bí quyết phòng ngừa viêm lợi răng sứ an toàn và bền lâu
- Viêm lợi sau bọc răng sứ: Dấu hiệu nhận biết sớm và cách xử lý kịp thời
