Sau khi bọc răng sứ, không ít người gặp phải tình trạng lợi sưng đỏ, đau nhức hoặc chảy máu, gây ảnh hưởng đến ăn nhai và thẩm mỹ. Đây chính là dấu hiệu của viêm lợi răng sứ – một vấn đề khá phổ biến nếu quá trình phục hình không đảm bảo hoặc chăm sóc răng miệng chưa đúng cách. Lúc này, câu hỏi được nhiều người quan tâm nhất là: “Viêm lợi răng sứ bao lâu thì khỏi?”.
Thực tế, thời gian hồi phục nhanh hay chậm còn phụ thuộc vào nhiều yếu tố khác nhau. Trong bài viết này, Nha Khoa Ngọc chúng ta sẽ cùng tìm hiểu chi tiết nguyên nhân, thời gian lành bệnh cũng như cách chăm sóc để rút ngắn quá trình hồi phục.
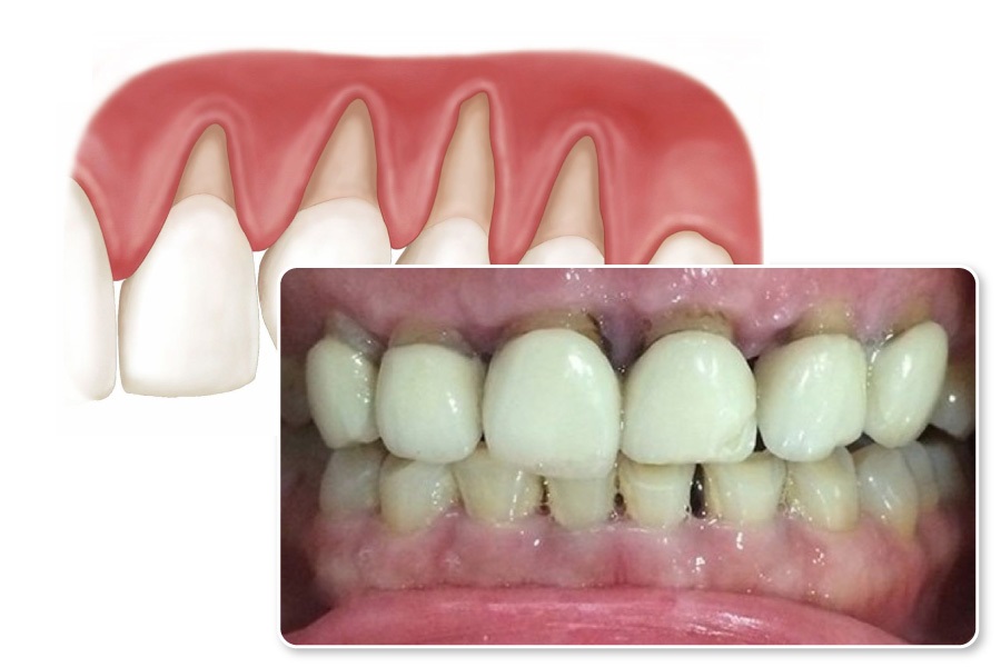
Viêm lợi răng sứ là gì? Dấu hiệu nhận biết
Viêm lợi răng sứ là tình trạng phần nướu xung quanh mão răng sứ bị sưng, đỏ, đau nhức hoặc chảy máu. Đây là một trong những biến chứng thường gặp sau khi phục hình răng sứ, nếu không được phát hiện và xử lý kịp thời có thể dẫn đến tụt lợi, hở chân răng sứ, thậm chí ảnh hưởng đến răng thật bên trong.
Triệu chứng thường gặp
Người bị viêm lợi quanh răng sứ thường có những dấu hiệu điển hình sau:
- Lợi sưng đỏ, đau khi chạm vào hoặc trong quá trình ăn nhai.
- Chảy máu chân răng khi chải răng hoặc sử dụng chỉ nha khoa.
- Hơi thở có mùi khó chịu, đi kèm cảm giác vướng, ê buốt hoặc khó chịu ở viền nướu.
Những triệu chứng này không chỉ gây bất tiện trong sinh hoạt hằng ngày mà còn là dấu hiệu cảnh báo tình trạng răng miệng đang gặp vấn đề nghiêm trọng.

Nguyên nhân thường gặp
Viêm lợi sau khi bọc răng sứ có thể xuất phát từ nhiều nguyên nhân khác nhau, trong đó phổ biến nhất là:
- Kỹ thuật bọc răng sứ sai: mài răng quá sâu, lắp sai khớp cắn hoặc mão sứ không ôm khít, gây cấn lợi.
- Vệ sinh răng miệng chưa đúng cách: tạo điều kiện cho mảng bám và vi khuẩn tích tụ quanh viền răng sứ.
- Dị ứng với vật liệu sứ hoặc lớp kim loại bên trong mão răng sứ kim loại.
- Bệnh lý răng miệng tiềm ẩn: viêm nha chu, viêm nướu, cao răng tích tụ từ trước khi bọc sứ.
Việc nhận biết sớm và tìm ra nguyên nhân chính xác sẽ giúp người bệnh có hướng điều trị phù hợp, tránh để tình trạng viêm lợi kéo dài gây ảnh hưởng đến sức khỏe răng miệng lâu dài.
Viêm lợi răng sứ bao lâu thì khỏi?
Một trong những thắc mắc phổ biến nhất của nhiều người sau khi bọc sứ là: “Viêm lợi răng sứ bao lâu thì khỏi?”. Thực tế, thời gian hồi phục không giống nhau ở mỗi người mà còn tùy thuộc vào mức độ viêm và cách chăm sóc.
Trường hợp viêm nhẹ
Nếu được phát hiện sớm, vệ sinh răng miệng đúng cách và tuân thủ hướng dẫn điều trị, tình trạng viêm có thể cải thiện chỉ sau 5 –7 ngày.
Trường hợp viêm trung bình
Khi lợi đã sưng đỏ rõ rệt, dễ chảy máu và gây khó chịu nhiều hơn, người bệnh cần kết hợp thăm khám nha khoa, sử dụng thuốc hoặc cạo vôi răng. Quá trình hồi phục thường mất khoảng 1–2 tuần.

Trường hợp viêm nặng hoặc có áp xe
Tình trạng này khá phức tạp, có thể kéo dài vài tuần. Trong nhiều trường hợp, bác sĩ buộc phải tháo mão răng sứ để xử lý triệt để nguyên nhân.
Không có một con số cố định cho tất cả mọi người. Thời gian khỏi viêm lợi răng sứ phụ thuộc vào nhiều yếu tố như mức độ viêm, kỹ thuật bọc sứ, chất liệu răng sứ, tình trạng sức khỏe răng miệng và sự tuân thủ điều trị của người bệnh.
Do đó, khi phát hiện dấu hiệu bất thường, bạn nên đi khám nha sĩ càng sớm càng tốt để được chẩn đoán chính xác và rút ngắn thời gian hồi phục.
Viêm lợi răng sứ bao lâu thì khỏi? Viêm lợi răng sứ có thể khỏi nhanh trong khoảng 5–7 ngày nếu được phát hiện sớm và điều trị đúng cách. Tuy nhiên, nếu để tình trạng kéo dài hoặc không xử lý kịp thời, bệnh có thể trở nên nghiêm trọng hơn, thậm chí phải tháo mão sứ để khắc phục.
Người bệnh không nên chủ quan trước các dấu hiệu sưng đỏ, chảy máu hoặc đau nhức quanh răng sứ. Việc thăm khám tại nha khoa uy tín sẽ giúp xác định nguyên nhân chính xác, từ đó đưa ra phác đồ điều trị phù hợp và rút ngắn thời gian hồi phục.
NHA KHOA NGỌC
- GPKD số 08A8016688 do UBND TP cấp ngày 14/1/2021.
- GPHĐ số 000117/TB-GPHĐ
- BS Ngọc: 0913.833.959
- Giờ mở cửa : Sáng 8-11h, chiều 15-18h30 tất cả các ngày trong tuần
- Địa chỉ: 623 Lê Quý Đôn – Thành phố Thái Bình (đối diện cổng chính Công An tỉnh 9 tầng)
- Website: https://nhakhoathaibinh.com/
Xem thêm:
- Hàn răng Thái Bình: Giải pháp phục hồi răng nhanh chóng và hiệu quả
- Những câu hỏi thường gặp về hàn răng bị mẻ Thái Bình
- Máng hướng dẫn phẫu thuật cấy ghép implant tại Thái Bình
- Thiết kế nụ cười Thái Bình: Giải pháp hoàn hảo cho nụ cười của bạn
- Răng sứ bị viêm lợi và lung lay: Nguyên nhân, dấu hiệu và cách xử lý
