Viêm lợi quanh răng sứ là một trong những tình trạng khá phổ biến sau khi bọc răng sứ, thường gây sưng đỏ, đau nhức và ảnh hưởng trực tiếp đến sức khỏe răng miệng cũng như tính thẩm mỹ. Nếu không được điều trị kịp thời, viêm lợi có thể tiến triển nặng hơn, dẫn đến tụt lợi, lung lay răng sứ hoặc thậm chí mất răng. Chính vì vậy, việc lựa chọn địa chỉ nha khoa uy tín để thăm khám và điều trị là vô cùng quan trọng.
Vậy viêm lợi răng sứ khám ở đâu tốt và đâu là những kinh nghiệm giúp bạn chọn được nha khoa chất lượng, an toàn? Hãy cùng tìm hiểu ngay trong bài viết dưới đây.
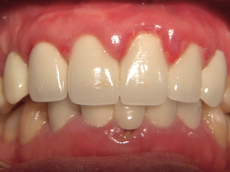
Dấu hiệu nhận biết viêm lợi răng sứ cần đi khám ngay
Sau khi bọc răng sứ, nếu chăm sóc chưa đúng cách hoặc kỹ thuật thực hiện không đảm bảo, bạn rất dễ gặp phải tình trạng viêm lợi quanh răng sứ. Việc phát hiện sớm các dấu hiệu bất thường giúp điều trị kịp thời, tránh biến chứng nặng hơn. Dưới đây là những triệu chứng cảnh báo bạn cần đi khám nha khoa ngay:
Lợi sưng đỏ, đau nhức
Đây là dấu hiệu điển hình cho thấy nướu đang bị viêm. Vùng lợi quanh răng sứ trở nên nhạy cảm, dễ đau khi chạm vào hoặc khi ăn nhai.
Chảy máu khi chải răng hoặc ăn uống
Nếu thường xuyên bị chảy máu chân răng khi vệ sinh răng miệng, đây có thể là dấu hiệu viêm lợi răng sứ hoặc tổn thương mô mềm quanh răng sứ.
Hơi thở có mùi hôi khó chịu
Viêm lợi khiến vi khuẩn tích tụ nhiều, gây ra mùi hôi miệng kéo dài, ảnh hưởng đến giao tiếp hàng ngày.
Vùng răng sứ bị hở, kênh cộm, dễ nhét thức ăn
Khi mão sứ không khít sát hoặc bị hở, thức ăn sẽ dễ mắc vào, tạo môi trường thuận lợi cho vi khuẩn phát triển, gây viêm lợi nặng hơn.
Có dấu hiệu tụt lợi hoặc xuất hiện mủ quanh răng
Đây là biểu hiện của răng sứ gây viêm lợi tiến triển nặng, ảnh hưởng trực tiếp đến cấu trúc nâng đỡ răng. Nếu không điều trị sớm, nguy cơ lung lay hoặc mất răng là rất cao.
Nếu bạn gặp một hoặc nhiều dấu hiệu trên, đừng chần chừ mà hãy đến ngay nha khoa uy tín để được thăm khám và xử lý kịp thời.

Tiêu chí lựa chọn nha khoa uy tín để khám viêm lợi răng sứ
Để đảm bảo quá trình khám và điều trị viêm lợi răng sứ diễn ra an toàn, hiệu quả, việc lựa chọn đúng nha khoa uy tín là yếu tố then chốt. Bạn có thể dựa vào những tiêu chí sau để đưa ra quyết định đúng đắn:
Đội ngũ bác sĩ giàu kinh nghiệm
Nha khoa cần có bác sĩ chuyên môn cao trong lĩnh vực phục hình răng sứ và điều trị các bệnh lý nha chu.
Bác sĩ phải trực tiếp thăm khám, tư vấn kỹ lưỡng và đưa ra phác đồ điều trị phù hợp với từng tình trạng cụ thể, tránh tái phát nhiều lần.
Trang thiết bị và công nghệ hiện đại
Ứng dụng các công nghệ tiên tiến như máy chụp X-quang 3D, hệ thống quét phim kỹ thuật số, thiết bị hỗ trợ nha chu.
Các công nghệ này giúp phát hiện chính xác nguyên nhân gây viêm, đồng thời hỗ trợ quá trình điều trị đạt hiệu quả tối ưu, rút ngắn thời gian hồi phục.

Chất lượng răng sứ và vật liệu nha khoa
- Nha khoa uy tín luôn sử dụng răng sứ chính hãng, có chứng nhận an toàn, tương thích với mô nướu, không gây kích ứng.
- Đồng thời, phải có chính sách bảo hành rõ ràng để khách hàng yên tâm trong quá trình sử dụng lâu dài.
Quy trình khám – điều trị chuẩn y khoa
- Đảm bảo tuân thủ quy trình vô trùng, khử khuẩn nghiêm ngặt để tránh lây nhiễm chéo.
- Thăm khám chi tiết, kết hợp chụp phim hoặc xét nghiệm khi cần để đưa ra chẩn đoán chính xác.
- Điều trị không chỉ dừng lại ở việc giảm triệu chứng, mà còn giải quyết triệt để nguyên nhân gốc rễ gây viêm lợi.
Đánh giá thực tế từ khách hàng
- Tham khảo phản hồi, review từ những người đã từng điều trị tại nha khoa.
- Xem thêm hình ảnh trước – sau để có cái nhìn trực quan hơn về chất lượng dịch vụ.
- Đây là cơ sở thực tế giúp bạn lựa chọn đúng địa chỉ đáng tin cậy.
Một nha khoa đáp ứng đầy đủ các tiêu chí trên sẽ giúp bạn yên tâm hơn trong quá trình khám và điều trị viêm lợi răng sứ, đảm bảo kết quả bền vững và an toàn.
Kinh nghiệm cá nhân khi đi khám viêm lợi răng sứ
Đi khám viêm lợi răng sứ không chỉ đơn giản là đến nha khoa rồi chờ bác sĩ điều trị, mà bạn cũng cần có sự chuẩn bị để quá trình thăm khám diễn ra thuận lợi và đạt hiệu quả cao. Dưới đây là một số kinh nghiệm hữu ích:
Nên chuẩn bị câu hỏi để trao đổi với bác sĩ
Trước khi đi khám, bạn có thể ghi lại các thắc mắc của mình như: nguyên nhân gây viêm, phương án điều trị, thời gian hồi phục hay cách chăm sóc sau khi điều trị. Việc này giúp bạn hiểu rõ tình trạng và chủ động hơn trong việc bảo vệ sức khỏe răng miệng.
Mang theo hồ sơ, ảnh chụp X-quang (nếu có)
Nếu bạn đã từng bọc răng sứ hoặc có hồ sơ điều trị trước đó, hãy mang theo để bác sĩ dễ dàng nắm được tình trạng răng miệng và đưa ra phác đồ phù hợp.
Không tự ý dùng thuốc kháng sinh, giảm đau trước khi có chỉ định
Tự ý dùng thuốc có thể làm sai lệch triệu chứng, gây khó khăn trong quá trình chẩn đoán và thậm chí làm tình trạng viêm nặng hơn. Bạn chỉ nên dùng thuốc khi có hướng dẫn từ bác sĩ.
Sau điều trị, tuân thủ hướng dẫn chăm sóc răng miệng tại nhà
Điều quan trọng nhất để ngăn ngừa viêm lợi tái phát là chăm sóc răng miệng đúng cách. Bạn cần đánh răng nhẹ nhàng, dùng chỉ nha khoa hoặc máy tăm nước, hạn chế đồ ăn quá cứng hoặc cay nóng và tái khám định kỳ theo chỉ định.
Với sự chuẩn bị chu đáo và tuân thủ đúng hướng dẫn, quá trình khám và điều trị viêm lợi răng sứ sẽ trở nên nhẹ nhàng và mang lại kết quả tốt nhất.
Chọn đúng địa chỉ nha khoa uy tín chính là chìa khóa giúp bạn điều trị viêm lợi quanh răng sứ một cách an toàn và hiệu quả, đồng thời hạn chế nguy cơ tái phát trong tương lai. Đừng chần chừ khi phát hiện các dấu hiệu bất thường ở nướu răng sứ, bởi việc thăm khám sớm sẽ giúp bảo vệ sức khỏe răng miệng và duy trì tính thẩm mỹ cho hàm răng. Nếu bạn đang băn khoăn viêm lợi răng sứ khám ở đâu, hãy tìm đến những nha khoa uy tín để được bác sĩ chuyên khoa tư vấn và điều trị chuyên sâu.
Hãy là người chủ động bảo vệ sức khỏe răng miệng của mình – bắt đầu từ việc lựa chọn đúng ngay từ đầu.
NHA KHOA NGỌC
- GPKD số 08A8016688 do UBND TP cấp ngày 14/1/2021.
- GPHĐ số 000117/TB-GPHĐ
- BS Ngọc: 0913.833.959
- Giờ mở cửa : Sáng 8-11h, chiều 15-18h30 tất cả các ngày trong tuần
- Địa chỉ: 623 Lê Quý Đôn – Thành phố Thái Bình (đối diện cổng chính Công An tỉnh 9 tầng)
- Website: https://nhakhoathaibinh.com/
Xem thêm:
- Hàn răng Thái Bình: Giải pháp phục hồi răng nhanh chóng và hiệu quả
- Những câu hỏi thường gặp về hàn răng bị mẻ Thái Bình
- Máng hướng dẫn phẫu thuật cấy ghép implant tại Thái Bình
- Thiết kế nụ cười Thái Bình: Giải pháp hoàn hảo cho nụ cười của bạn
- Răng sứ bị viêm lợi và lung lay: Nguyên nhân, dấu hiệu và cách xử lý
