Sau khi bọc răng sứ, nhiều người gặp phải tình trạng răng sứ bị dắt thức ăn, gây cảm giác khó chịu, hôi miệng và viêm nướu kéo dài. Đây là dấu hiệu cho thấy mão sứ có thể bị hở kẽ hoặc lắp không khít, ảnh hưởng trực tiếp đến sức khỏe răng miệng và thẩm mỹ nụ cười. Bài viết dưới đây sẽ giúp bạn hiểu rõ nguyên nhân, hậu quả và phương pháp điều trị răng sứ bị dắt thức ăn Thái Bình, giúp khắc phục triệt để tình trạng này và duy trì nụ cười tự tin, khỏe đẹp lâu dài.
Dấu hiệu nhận biết răng sứ bị dắt thức ăn cần điều trị
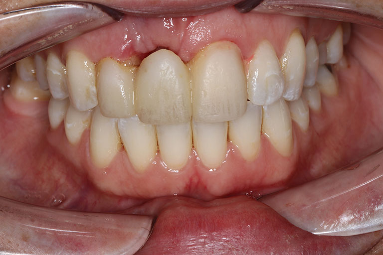
Sau khi bọc răng sứ, nếu bạn thường xuyên gặp tình trạng mắc thức ăn giữa các răng hoặc cảm thấy khó chịu khi ăn nhai, rất có thể răng sứ đang gặp vấn đề cần được kiểm tra và điều chỉnh sớm. Dưới đây là những dấu hiệu rõ ràng giúp bạn nhận biết khi nào nên đến nha khoa để điều trị:
Thức ăn thường xuyên mắc lại giữa các răng sứ
Khi mão sứ không khít sát hoặc khớp cắn chưa chuẩn, thức ăn dễ bị kẹt lại ở các kẽ răng. Tình trạng này lặp đi lặp lại mỗi khi ăn uống là dấu hiệu đầu tiên cho thấy răng sứ bị hở kẽ hoặc lắp sai vị trí, cần được bác sĩ kiểm tra để tránh viêm nướu và sâu răng thật bên trong.
Hôi miệng kéo dài dù vệ sinh sạch
Mảng bám và vụn thức ăn tích tụ lâu ngày ở kẽ hở răng sứ là môi trường lý tưởng cho vi khuẩn phát triển, gây mùi hôi khó chịu. Nếu đã chải răng, dùng chỉ nha khoa đầy đủ mà hơi thở vẫn có mùi, đó là dấu hiệu rõ ràng của răng sứ bị dắt thức ăn và cần được xử lý triệt để.
Nướu sưng, chảy máu nhẹ khi chải răng
Khi viền sứ không ôm sát nướu, vi khuẩn dễ xâm nhập, khiến nướu bị kích ứng, sưng đỏ hoặc chảy máu nhẹ. Nếu để lâu, tình trạng này có thể dẫn đến viêm nướu mãn tính và làm giảm tuổi thọ mão sứ.
Cảm giác ê buốt, khó chịu khi ăn nhai
Răng sứ khớp cắn sai hoặc bị hở có thể tạo áp lực không đều khi nhai, gây ê buốt, thậm chí đau âm ỉ ở vùng chân răng. Đây là dấu hiệu cảnh báo răng sứ không còn khít chặt với răng thật – cần được điều chỉnh hoặc thay mới để đảm bảo chức năng ăn nhai tự nhiên.
Có khe hở hoặc viền sứ đổi màu ở nướu
Khi quan sát trong gương, nếu bạn thấy viền nướu bị sậm màu, hoặc xuất hiện khe hở nhỏ giữa răng sứ và nướu, rất có thể vi khuẩn đã xâm nhập bên dưới mão sứ. Nếu không xử lý kịp thời, răng thật bên trong sẽ bị sâu hoặc viêm nhiễm, buộc phải làm lại răng sứ.
Khi nhận thấy một hoặc nhiều dấu hiệu trên, bạn nên đến nha khoa uy tín để được điều trị răng sứ bị dắt thức ăn Thái Bình thăm khám và điều trị sớm. Việc khắc phục kịp thời không chỉ giúp bảo vệ răng thật mà còn duy trì độ bền và tính thẩm mỹ cho răng sứ trong thời gian dài.

Những rủi ro nếu không điều trị sớm răng sứ bị dắt thức ăn
Tình trạng răng sứ bị dắt thức ăn không chỉ gây khó chịu khi ăn uống mà còn tiềm ẩn nhiều hậu quả nghiêm trọng nếu không được khắc phục kịp thời. Việc chủ quan, để lâu có thể khiến răng thật và mô nướu bị tổn thương nặng, ảnh hưởng đến cả thẩm mỹ lẫn sức khỏe răng miệng. Dưới đây là những rủi ro thường gặp khi bạn không điều trị răng sứ bị dắt thức ăn sớm:
Viêm lợi, viêm quanh răng
Khi thức ăn liên tục mắc lại ở kẽ răng, vi khuẩn sẽ sinh sôi và tấn công mô nướu, gây viêm lợi, sưng đỏ và chảy máu khi chải răng. Nếu để lâu, tình trạng này có thể chuyển sang viêm quanh răng, làm tiêu xương ổ răng và khiến răng sứ mất điểm tựa, dễ lung lay.
Sâu răng thật nằm dưới mão sứ
Khe hở giữa răng sứ và răng thật là nơi lý tưởng cho vi khuẩn xâm nhập. Theo thời gian, men răng thật bên trong sẽ bị phá hủy, dẫn đến sâu răng ngầm mà người bệnh khó nhận ra bằng mắt thường. Khi phát hiện, thường đã quá muộn và phải tháo mão sứ để điều trị lại từ đầu.
Gây hở kẽ lớn, mất thẩm mỹ
Việc không xử lý sớm khiến khe hở ngày càng rộng, tạo khoảng trống dễ nhìn thấy khi cười hoặc nói chuyện. Điều này không chỉ ảnh hưởng đến thẩm mỹ nụ cười mà còn khiến người bệnh mất tự tin trong giao tiếp hằng ngày.
Mão sứ bị lung lay, phải thay lại toàn bộ
Tình trạng viêm quanh răng kéo dài hoặc khớp cắn sai lệch có thể làm mão sứ mất độ bám chắc, dẫn đến lung lay. Khi đó, bác sĩ buộc phải tháo toàn bộ mão sứ và phục hình lại từ đầu – vừa tốn thời gian, vừa tốn chi phí.

Ảnh hưởng khớp cắn và sức khỏe răng miệng lâu dài
Răng sứ bị lệch hoặc hở khiến lực nhai không phân bố đều, gây sai khớp cắn, đau khớp thái dương hàm, thậm chí mỏi cơ hàm khi ăn uống. Lâu dần, điều này có thể ảnh hưởng đến chức năng nhai và sức khỏe tổng thể vùng miệng.
Khi phát hiện răng sứ bị dắt thức ăn, đừng cố chịu đựng hoặc tự xử lý tại nhà. Hãy đến nha khoa uy tín tại Thái Bình để được thăm khám và điều trị sớm. Xử lý kịp thời sẽ giúp bạn ngăn ngừa biến chứng, bảo vệ răng thật và duy trì nụ cười đẹp bền lâu.
Phương pháp điều trị răng sứ bị dắt thức ăn Thái Bình
Khi gặp tình trạng răng sứ bị dắt thức ăn, người bệnh không nên tự xử lý tại nhà bằng tăm hay vật nhọn, vì có thể khiến kẽ răng rộng hơn và tổn thương nướu. Thay vào đó, việc điều trị tại Nha Khoa Ngọc ở Thái Bình là lựa chọn an toàn và hiệu quả nhất. Dưới đây là quy trình điều trị chuẩn giúp khắc phục triệt để tình trạng này.
Thăm khám – Chụp X-quang kiểm tra nguyên nhân chính xác
Bác sĩ sẽ tiến hành khám tổng quát và chụp phim X-quang để xác định nguyên nhân gây dắt thức ăn: do mão sứ lắp lệch, hở viền, khớp cắn sai hay do viêm nướu.
Từ kết quả này, bác sĩ sẽ đánh giá tình trạng mão sứ, viền nướu và răng thật bên trong, từ đó đưa ra hướng điều trị phù hợp nhất cho từng trường hợp.
Làm sạch vùng răng bị dắt thức ăn
Sau khi xác định được nguyên nhân, bác sĩ sẽ làm sạch toàn bộ vùng răng bị ảnh hưởng bằng thiết bị siêu âm hiện đại.
Phương pháp này giúp loại bỏ mảng bám, vụn thức ăn và vi khuẩn tích tụ quanh kẽ răng, giảm sưng viêm nướu và ngăn ngừa hôi miệng hiệu quả.
Điều chỉnh hoặc thay mão sứ mới nếu cần
Trong trường hợp mão sứ bị lệch, hở kẽ hoặc sai khớp cắn, bác sĩ sẽ tiến hành mài chỉnh nhẹ hoặc thay mão sứ mới.
Mão sứ mới được thiết kế khít sát viền nướu, đúng khớp cắn và vừa vặn với răng thật, đảm bảo thức ăn không còn mắc lại khi ăn uống.
Đồng thời, vật liệu sứ hiện đại cũng giúp tăng độ bền và giữ màu trắng sáng lâu dài.

Hướng dẫn vệ sinh răng miệng sau điều trị
Sau khi điều trị, nha sĩ sẽ hướng dẫn bạn chăm sóc răng miệng đúng cách để tránh tái phát tình trạng dắt thức ăn:
Chải răng 2–3 lần/ngày bằng bàn chải lông mềm.
Sử dụng chỉ nha khoa hoặc tăm nước để làm sạch kẽ răng sứ.
Hạn chế dùng tăm nhọn, không ăn đồ quá cứng hay dẻo gây hở kẽ.
Tái khám định kỳ để kiểm tra độ bền răng sứ
Sau điều trị, người bệnh nên tái khám định kỳ 3–6 tháng/lần để bác sĩ kiểm tra tình trạng răng sứ, viền nướu và khớp cắn.
Việc theo dõi thường xuyên giúp phát hiện sớm các vấn đề nhỏ và xử lý kịp thời, đảm bảo răng sứ luôn bền đẹp và ăn nhai thoải mái.
Điều trị răng sứ bị dắt thức ăn Thái Bình đã áp dụng công nghệ phục hình sứ hiện đại, giúp điều trị dứt điểm tình trạng răng sứ bị dắt thức ăn chỉ trong một vài buổi. Việc lựa chọn địa chỉ chuyên sâu về răng sứ không chỉ mang lại hiệu quả cao mà còn giúp bạn giữ gìn nụ cười tự tin và sức khỏe răng miệng lâu dài.
Hãy duy trì thói quen chăm sóc hàng ngày kết hợp với khám nha định kỳ, bạn sẽ luôn tự tin với nụ cười sáng khỏe, tự nhiên và bền đẹp theo thời gian.
NHA KHOA NGỌC
- GPKD số 08A8016688 do UBND TP cấp ngày 14/1/2021.
- GPHĐ số 000117/TB-GPHĐ
- BS Ngọc: 0913.833.959
- Giờ mở cửa : Sáng 8-11h, chiều 15-18h30 tất cả các ngày trong tuần
- Địa chỉ: 623 Lê Quý Đôn – Thành phố Thái Bình (đối diện cổng chính Công An tỉnh 9 tầng)
- Website: https://nhakhoathaibinh.com/
Xem thêm:
- Thiết kế nụ cười Thái Bình: Giải pháp hoàn hảo cho nụ cười của bạn
- Răng sứ bị viêm lợi và lung lay: Nguyên nhân, dấu hiệu và cách xử lý
- Điều trị viêm lợi do răng sứ: Lời khuyên từ bác sĩ nha khoa
- 5 bí quyết phòng ngừa viêm lợi răng sứ an toàn và bền lâu
- Viêm lợi sau bọc răng sứ: Dấu hiệu nhận biết sớm và cách xử lý kịp thời
