Sau một thời gian bọc răng sứ, nhiều người gặp tình trạng răng sứ bị hở kẽ, khiến thức ăn thường xuyên mắc lại và hơi thở có mùi khó chịu. Đây là dấu hiệu cho thấy mão sứ có thể không còn khít sát hoặc vùng nướu bị co nhẹ, tạo điều kiện cho vi khuẩn phát triển. Nếu không vệ sinh đúng cách, tình trạng này có thể dẫn đến viêm nướu, sâu răng thật bên trong và làm giảm tuổi thọ mão sứ. Vì vậy, việc vệ sinh răng sứ bị hở kẽ đúng cách là bước quan trọng giúp giảm nhét thức ăn, loại bỏ mùi hôi và giữ hàm răng luôn khỏe đẹp, tự tin khi giao tiếp.
Nguyên nhân khiến răng sứ bị hở kẽ và dễ nhét thức ăn
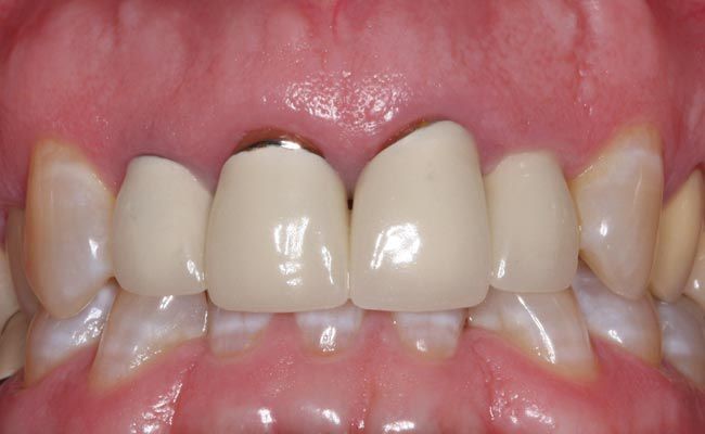
Răng sứ mang lại nụ cười thẩm mỹ và cảm giác nhai chắc chắn, nhưng sau một thời gian sử dụng, không ít người gặp phải tình trạng răng sứ bị hở kẽ khiến thức ăn dễ mắc lại và gây hôi miệng. Hiểu rõ nguyên nhân sẽ giúp bạn có hướng xử lý kịp thời, tránh viêm nhiễm và kéo dài tuổi thọ mão sứ.
Mão sứ lắp sai khớp hoặc hở viền do kỹ thuật phục hình chưa chuẩn
Đây là nguyên nhân phổ biến nhất khiến răng sứ bị hở kẽ.
Khi mão sứ không được chế tác chuẩn kích thước hoặc lắp đặt sai vị trí, viền răng sẽ không ôm khít với nướu, tạo ra khe hở nhỏ giữa hai răng. Thức ăn dễ bám vào vùng này, gây nhét thức ăn, viêm nướu và hôi miệng.
Kỹ thuật phục hình chính xác, cùng tay nghề bác sĩ cao, là yếu tố quan trọng giúp tránh tình trạng này.
Nướu bị viêm, co rút làm lộ khe giữa răng sứ và nướu
Khi nướu bị viêm lâu ngày, mô nướu sẽ co rút dần, khiến phần chân răng sứ bị hở ra.
Hậu quả là tạo khe hở rõ giữa mão sứ và nướu thật, không chỉ ảnh hưởng đến thẩm mỹ mà còn là nơi vi khuẩn và thức ăn dễ mắc lại.
Nếu không điều trị kịp thời, nướu sẽ tiếp tục tổn thương, làm giảm độ bền của mão sứ và gây viêm quanh răng.
Thói quen vệ sinh không đúng cách khiến vi khuẩn tích tụ, ăn mòn viền nướu
Nhiều người vẫn đánh răng sai cách hoặc bỏ qua việc dùng chỉ nha khoa – tăm nước, khiến mảng bám tích tụ lâu ngày.
Lớp vi khuẩn này có thể ăn mòn viền nướu và men sứ, gây viêm nhẹ và dần tạo khe hở giữa các răng.
Vệ sinh không kỹ là nguyên nhân âm thầm nhưng phổ biến, làm răng sứ nhanh xuống cấp và dễ nhét thức ăn hơn.

Răng sứ cũ bị mòn, lỏng hoặc bong keo dán theo thời gian
Theo thời gian, mão sứ có thể bị mòn nhẹ hoặc bong keo dán, khiến độ khít không còn như ban đầu.
Khi đó, viền sứ sẽ không bám chặt vào cùi răng, tạo khe hở nhỏ khiến thức ăn lọt vào và khó làm sạch.
Tình trạng này thường gặp ở những mão sứ đã sử dụng trên 5–7 năm hoặc làm bằng vật liệu kém chất lượng.
Tác hại khi không vệ sinh răng sứ bị hở kẽ đúng cách
Răng sứ bị hở kẽ tưởng chừng chỉ là vấn đề nhỏ, nhưng nếu không vệ sinh đúng cách và thường xuyên, hậu quả có thể ảnh hưởng nghiêm trọng đến cả mão sứ và răng thật bên trong. Việc chủ quan trong khâu chăm sóc khiến mảng bám, vi khuẩn và thức ăn tích tụ lâu ngày — là nguyên nhân chính gây nên hàng loạt vấn đề răng miệng dưới đây.
Gây hôi miệng, viêm nướu, sưng đỏ và chảy máu chân răng
Khi thức ăn mắc kẹt tại khe hở răng sứ, chúng sẽ phân hủy dần, tạo ra mùi hôi khó chịu trong khoang miệng.
Không chỉ vậy, vi khuẩn tích tụ tại khu vực này dễ gây viêm nướu, sưng đỏ, đau nhức và chảy máu chân răng khi chải răng hoặc ăn nhai.
Nếu không được xử lý kịp thời, viêm nướu có thể tiến triển thành viêm nha chu, gây tổn thương nặng hơn cho răng thật.
Vi khuẩn xâm nhập làm sâu răng thật bên trong mão sứ
- Răng sứ chỉ là lớp bảo vệ bên ngoài, còn răng thật bên trong vẫn có thể bị sâu nếu vi khuẩn xâm nhập.
- Khe hở giữa mão sứ và răng thật là môi trường lý tưởng để vi khuẩn phát triển, ăn mòn men răng thật và gây sâu ngầm — loại sâu khó phát hiện bằng mắt thường.
- Khi phát hiện, phần lớn trường hợp đã phải tháo mão sứ để điều trị tủy hoặc phục hình lại, gây tốn kém thời gian và chi phí.
Ảnh hưởng đến thẩm mỹ và cảm giác nhai tự nhiên
- Răng sứ bị hở kẽ không chỉ khiến hàm răng mất thẩm mỹ, mà còn tạo cảm giác cấn vướng, ê buốt khi ăn uống.
Những mảnh thức ăn mắc lại có thể gây đau nhẹ hoặc khiến bạn phải thường xuyên dùng tăm, chỉ nha khoa để làm sạch, rất bất tiện trong sinh hoạt.
Lâu dần, cấu trúc răng sứ cũng bị ảnh hưởng, gây mất cân đối khớp cắn và giảm độ bền của mão.
Nguy cơ phải tháo và thay mão sứ mới nếu để tình trạng kéo dài
- Khi viền nướu bị viêm hoặc răng thật bị sâu, bác sĩ thường buộc phải tháo bỏ mão sứ cũ để điều trị và làm lại mão mới.
Điều này không chỉ tốn kém chi phí, mà còn làm răng thật yếu hơn do phải mài chỉnh lại nhiều lần.
Do đó, việc vệ sinh đúng cách ngay từ đầu là yếu tố then chốt giúp giữ mão sứ bền đẹp và bảo vệ răng thật lâu dài. - Không vệ sinh răng sứ bị hở kẽ đúng cách có thể dẫn đến hàng loạt hậu quả nghiêm trọng cho cả răng sứ và răng thật.

Giải pháp vệ sinh răng sứ bị hở kẽ hiệu quả
Răng sứ bị hở kẽ là tình trạng khá phổ biến sau một thời gian phục hình, gây ra cảm giác khó chịu do thức ăn dễ mắc lại, dẫn đến hôi miệng và viêm nướu. Tuy nhiên, bạn hoàn toàn có thể giảm thiểu tình trạng này nếu biết vệ sinh răng miệng đúng cách mỗi ngày. Dưới đây là những giải pháp vệ sinh răng sứ bị hở kẽ được bác sĩ nha khoa khuyến nghị để bảo vệ răng sứ bền đẹp và nướu luôn khỏe mạnh.
Chải răng đúng cách
- Sử dụng bàn chải lông mềm kết hợp kem đánh răng dành cho răng nhạy cảm để tránh làm trầy xước viền sứ.
- Khi chải, nên đánh nhẹ theo chiều dọc, hướng từ nướu lên (hoặc từ nướu xuống với hàm dưới), tuyệt đối không chà ngang để hạn chế mòn viền sứ và tổn thương nướu.
- Duy trì chải răng ít nhất 2 lần/ngày, đặc biệt sau bữa ăn, giúp loại bỏ mảng bám và thức ăn còn sót trong kẽ hở.
Mẹo nhỏ: Bạn có thể dùng bàn chải điện có đầu nhỏ, xoay tròn để làm sạch hiệu quả hơn vùng răng sứ.
Dùng chỉ nha khoa hằng ngày
- Chỉ nha khoa là công cụ không thể thiếu giúp làm sạch sâu giữa các kẽ răng mà bàn chải thông thường không thể chạm tới.
- Khi sử dụng, luồn nhẹ chỉ qua khe hở và kéo nhẹ theo hình chữ “C” ôm sát thân răng, tránh kéo mạnh gây tổn thương nướu.
- Với răng sứ có khe nhỏ, nên chọn chỉ nha khoa dạng sáp, giúp trượt dễ hơn và hạn chế tưa chỉ.

Sử dụng tăm nước
- Tăm nước là thiết bị hiện đại giúp làm sạch mảng bám và thức ăn thừa trong các khe hở chỉ trong vài giây, cực kỳ nhẹ nhàng và an toàn cho răng sứ.
- Đây là giải pháp lý tưởng cho người đang bọc răng sứ, niềng răng hoặc làm cầu răng.
- Nên sử dụng mỗi tối sau khi chải răng, điều chỉnh áp lực nước vừa phải để không ảnh hưởng đến viền nướu.
Lưu ý: Khi mới sử dụng, nên bắt đầu với mức áp lực thấp, sau đó tăng dần để làm quen.
Súc miệng bằng dung dịch kháng khuẩn
- Nước súc miệng không cồn giúp tiêu diệt vi khuẩn gây mùi, giảm viêm nướu và giữ hơi thở luôn thơm mát.
- Nếu vùng nướu nhạy cảm, bạn có thể thay thế bằng nước muối sinh lý 0.9% – vừa dịu nhẹ, vừa có khả năng sát khuẩn tự nhiên.
- Duy trì súc miệng 2–3 lần/ngày sau khi ăn hoặc trước khi đi ngủ để đạt hiệu quả tốt nhất.
Kiểm tra định kỳ tại nha khoa
- Dù vệ sinh kỹ đến đâu, bạn vẫn nên thăm khám răng định kỳ 3–6 tháng/lần.
- Bác sĩ sẽ kiểm tra độ khít của mão sứ, phát hiện sớm các dấu hiệu viêm nướu hoặc hở kẽ lớn.
- Nếu mão sứ bị lỏng, bong keo hoặc khe hở quá rộng, nha sĩ sẽ điều chỉnh hoặc thay mão sứ mới để tránh biến chứng nghiêm trọng.
- Khám định kỳ giúp răng sứ duy trì độ bền, giữ nụ cười trắng sáng và hơi thở thơm mát lâu dài.
Vệ sinh răng sứ bị hở kẽ đúng cách không chỉ giúp giảm nhét thức ăn và mùi hôi, mà còn là cách tốt nhất để kéo dài tuổi thọ của mão sứ và bảo vệ sức khỏe răng miệng tổng thể.
Hãy duy trì thói quen chăm sóc hàng ngày kết hợp với khám nha định kỳ, bạn sẽ luôn tự tin với nụ cười sáng khỏe, tự nhiên và bền đẹp theo thời gian.
NHA KHOA NGỌC
- GPKD số 08A8016688 do UBND TP cấp ngày 14/1/2021.
- GPHĐ số 000117/TB-GPHĐ
- BS Ngọc: 0913.833.959
- Giờ mở cửa : Sáng 8-11h, chiều 15-18h30 tất cả các ngày trong tuần
- Địa chỉ: 623 Lê Quý Đôn – Thành phố Thái Bình (đối diện cổng chính Công An tỉnh 9 tầng)
- Website: https://nhakhoathaibinh.com/
Xem thêm:
- Thiết kế nụ cười Thái Bình: Giải pháp hoàn hảo cho nụ cười của bạn
- Răng sứ bị viêm lợi và lung lay: Nguyên nhân, dấu hiệu và cách xử lý
- Điều trị viêm lợi do răng sứ: Lời khuyên từ bác sĩ nha khoa
- 5 bí quyết phòng ngừa viêm lợi răng sứ an toàn và bền lâu
- Viêm lợi sau bọc răng sứ: Dấu hiệu nhận biết sớm và cách xử lý kịp thời
