Nhiều người sau khi bọc răng sứ thường chủ quan khi thấy thức ăn hay bị dắt nhẹ giữa các kẽ răng. Tuy nhiên, nếu tình trạng này lặp lại thường xuyên, rất có thể đó là dấu hiệu răng sứ bị hở hoặc khớp cắn sai, tạo điều kiện cho vi khuẩn xâm nhập và gây sâu răng thật bên trong mão sứ.
Răng sứ bị sâu do nhét thức ăn không chỉ làm mất thẩm mỹ, hôi miệng, đau nhức, mà còn khiến bạn phải làm lại răng sứ, tốn kém thời gian và chi phí.
Hãy cùng Nha Khoa Ngọc đi tìm hiểu dấu hiệu nhận biết và cách xử lý kịp thời để bảo vệ răng sứ và sức khỏe răng miệng của bạn nhé!
Dấu hiệu nhận biết răng sứ bị sâu do nhét thức ăn
Tình trạng răng sứ bị sâu do nhét thức ăn thường tiến triển âm thầm và khó phát hiện ở giai đoạn đầu. Tuy nhiên, nếu chú ý kỹ, bạn có thể nhận ra qua một số dấu hiệu đặc trưng sau:
Răng sứ thường xuyên bị dắt thức ăn ở cùng một vị trí
Khi mão sứ bị hở viền hoặc sai khớp cắn, thức ăn sẽ dễ dàng kẹt lại ở cùng một điểm, dù bạn đã vệ sinh kỹ. Đây là dấu hiệu sớm cho thấy răng sứ đang gặp vấn đề về khít sát hoặc khớp nối.
Hơi thở có mùi hôi dù đã vệ sinh kỹ
Thức ăn mắc kẹt lâu ngày tạo điều kiện cho vi khuẩn phân hủy, gây mùi khó chịu trong khoang miệng. Nếu mùi hôi không cải thiện dù đã đánh răng, súc miệng hay dùng chỉ nha khoa, rất có thể vùng răng sứ đó đã bị sâu hoặc viêm nhẹ.
Đau hoặc ê buốt khi nhai
Cảm giác ê buốt xuất hiện khi sâu răng đã ảnh hưởng đến lớp răng thật bên trong mão sứ. Tình trạng này kéo dài có thể dẫn đến viêm tủy hoặc nhiễm trùng quanh chân răng.
Nướu quanh răng sứ sưng đỏ, dễ chảy máu
Khi vi khuẩn tích tụ quanh viền sứ, nướu sẽ bị kích ứng, sưng đỏ và dễ chảy máu khi chải răng. Đây là dấu hiệu cho thấy răng sứ không còn khít sát hoặc đã hình thành ổ viêm.
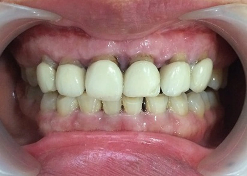
Răng sứ đổi màu nhẹ hoặc xuất hiện viền đen sát nướu
Sự đổi màu ở chân răng sứ hoặc xuất hiện viền đen thường là do vi khuẩn và mảng bám tích tụ lâu ngày. Nếu không xử lý sớm, vi khuẩn có thể ăn sâu vào mô răng thật, gây sâu răng và làm mão sứ mất thẩm mỹ.
Khi gặp một hoặc nhiều dấu hiệu trên, bạn nên đến nha khoa kiểm tra sớm để phát hiện nguyên nhân và điều chỉnh kịp thời, tránh để sâu lan rộng hoặc phải làm lại răng sứ.

Hậu quả nếu không điều trị kịp thời
Nhiều người thường xem nhẹ việc răng sứ bị dắt thức ăn hay hơi thở có mùi, cho rằng chỉ cần vệ sinh kỹ hơn là đủ. Tuy nhiên, nếu tình trạng này kéo dài mà không được kiểm tra và xử lý, hậu quả có thể nghiêm trọng hơn bạn nghĩ.
Sâu răng thật bên trong mão sứ, gây đau nhức và viêm tủy
Phía dưới lớp mão sứ vẫn là răng thật, nếu vi khuẩn xâm nhập qua khe hở, chúng sẽ ăn mòn men răng và ngà răng bên trong. Khi sâu lan đến tủy, người bệnh sẽ cảm thấy đau nhức dữ dội, ê buốt khi ăn uống, thậm chí phải điều trị tủy hoặc tháo mão sứ để xử lý.
Viêm nướu, tụt lợi, lộ chân răng thật
Thức ăn và vi khuẩn tích tụ quanh viền sứ lâu ngày sẽ gây viêm nướu, sưng đỏ và dễ chảy máu. Nếu không điều trị răng sứ sớm, nướu có thể bị tụt xuống, khiến chân răng thật lộ ra, làm mất thẩm mỹ và tăng nguy cơ tổn thương răng gốc.
Mão sứ bị lung lay, gãy hoặc phải làm lại toàn bộ
Khi cấu trúc răng thật bên trong bị yếu đi do sâu hoặc viêm, mão sứ không còn chỗ bám vững chắc. Hậu quả là răng sứ có thể lung lay, nứt hoặc rơi ra ngoài, buộc phải tháo bỏ và làm lại toàn bộ phục hình, gây tốn kém thời gian và chi phí.
Ảnh hưởng thẩm mỹ và chi phí điều trị tăng cao
Răng sứ hở, viền đen hoặc bị viêm nướu không chỉ gây mất tự tin khi giao tiếp mà còn khiến quá trình điều trị phức tạp hơn. Việc phải tháo mão, điều trị tủy rồi bọc lại có thể tốn gấp nhiều lần so với việc kiểm tra và xử lý sớm từ đầu.

Cách xử lý khi răng sứ bị sâu do nhét thức ăn
Khi phát hiện răng sứ bị dắt thức ăn thường xuyên, đau ê hoặc có dấu hiệu sâu, bạn không nên chủ quan. Việc xử lý đúng cách ngay từ đầu giúp ngăn ngừa viêm nhiễm, bảo vệ răng thật bên trong và kéo dài tuổi thọ của mão sứ.
Dưới đây là các bước xử lý hiệu quả mà bạn nên thực hiện:
Tạm thời tại nhà
Nếu chưa thể đến nha khoa ngay, bạn có thể thực hiện một số biện pháp tạm thời để giảm viêm và làm sạch khu vực bị dắt thức ăn:
Làm sạch nhẹ nhàng bằng chỉ nha khoa hoặc tăm nước: Sau mỗi bữa ăn, hãy dùng chỉ nha khoa hoặc tăm nước để loại bỏ thức ăn kẹt giữa các kẽ răng. Không nên dùng tăm nhọn vì dễ làm tổn thương nướu hoặc làm rộng thêm kẽ răng sứ.
Súc miệng bằng nước muối sinh lý: Nước muối giúp sát khuẩn, giảm viêm và làm dịu vùng nướu đang sưng đỏ. Bạn nên súc miệng 2–3 lần mỗi ngày, đặc biệt sau khi ăn.
Hạn chế thực phẩm ngọt, dính hoặc quá cứng: Các loại kẹo dẻo, bánh ngọt hoặc đồ cứng có thể khiến thức ăn bám chặt hơn và làm tổn thương răng sứ. Nên chọn thực phẩm mềm, dễ nhai trong thời gian chờ khám nha khoa.
Đây chỉ là biện pháp tạm thời. Nếu cơn đau kéo dài hoặc vùng nướu sưng to, cần đến nha khoa càng sớm càng tốt.

Điều trị chuyên sâu tại nha khoa
Khi đến phòng khám, bác sĩ sẽ tiến hành kiểm tra kỹ nguyên nhân và mức độ tổn thương để có hướng xử lý phù hợp:
Chụp X-quang kiểm tra mức độ sâu và tình trạng răng thật: Hình ảnh X-quang giúp bác sĩ đánh giá xem răng thật bên trong mão sứ có bị sâu, viêm tủy hoặc tiêu xương hay không.
Làm sạch và loại bỏ mảng bám, vi khuẩn dưới mão sứ: Bác sĩ sẽ sử dụng dụng cụ chuyên dụng để làm sạch vùng viền nướu và kẽ răng, ngăn vi khuẩn tiếp tục phát triển.
Điều chỉnh hoặc thay mão sứ mới nếu phát hiện sai khớp hoặc hở viền: Trường hợp mão sứ lắp sai kỹ thuật, bác sĩ sẽ tháo ra, chỉnh lại khớp cắn hoặc thiết kế lại mão mới ôm khít sát hơn để tránh nhét thức ăn.
Điều trị tủy và bọc lại răng sứ nếu sâu ăn sâu vào mô răng thật: Nếu răng thật bên trong đã bị viêm hoặc sâu nặng, bác sĩ sẽ tiến hành điều trị tủy, làm sạch toàn bộ ổ sâu, sau đó bọc lại mão sứ mới để bảo vệ răng.
Tình trạng răng sứ bị sâu do nhét thức ăn là dấu hiệu cảnh báo sớm cho thấy mão sứ hoặc khớp nối răng đang gặp vấn đề. Nếu chủ quan, bạn có thể đối mặt với nhiều hậu quả như sâu răng thật, viêm nướu hay thậm chí phải làm lại răng sứ.
Việc phát hiện và điều trị sớm không chỉ giúp bảo vệ răng thật bên trong mà còn duy trì tính thẩm mỹ, độ bền và sự thoải mái khi ăn nhai.
Để đảm bảo an toàn, bạn nên đến nha khoa uy tín để được kiểm tra, chụp phim và điều chỉnh chuyên nghiệp, giúp giữ nụ cười luôn khỏe đẹp và bền lâu.
NHA KHOA NGỌC
- GPKD số 08A8016688 do UBND TP cấp ngày 14/1/2021.
- GPHĐ số 000117/TB-GPHĐ
- BS Ngọc: 0913.833.959
- Giờ mở cửa : Sáng 8-11h, chiều 15-18h30 tất cả các ngày trong tuần
- Địa chỉ: 623 Lê Quý Đôn – Thành phố Thái Bình (đối diện cổng chính Công An tỉnh 9 tầng)
- Website: https://nhakhoathaibinh.com/
Xem thêm:
- Thiết kế nụ cười Thái Bình: Giải pháp hoàn hảo cho nụ cười của bạn
- Răng sứ bị viêm lợi và lung lay: Nguyên nhân, dấu hiệu và cách xử lý
- Điều trị viêm lợi do răng sứ: Lời khuyên từ bác sĩ nha khoa
- 5 bí quyết phòng ngừa viêm lợi răng sứ an toàn và bền lâu
- Viêm lợi sau bọc răng sứ: Dấu hiệu nhận biết sớm và cách xử lý kịp thời
