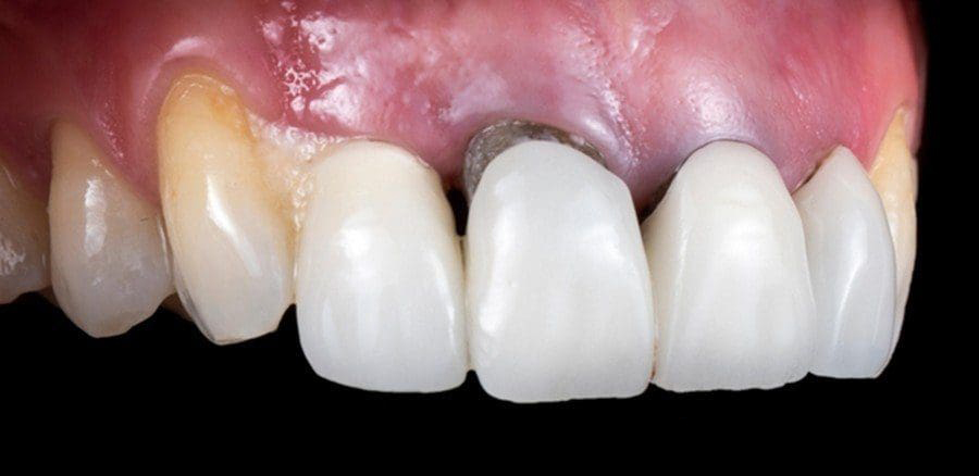
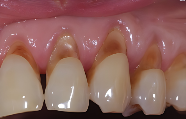
Bọc răng sứ là giải pháp thẩm mỹ được nhiều người lựa chọn để sở hữu nụ cười tự tin và hàm răng đều đẹp. Tuy nhiên, sau một thời gian sử dụng, không ít trường hợp gặp phải tình trạng răng sứ bị tụt lợi hở kẽ, gây mất thẩm mỹ và ảnh hưởng đến sức khỏe răng miệng. Phần khe hở giữa răng sứ và nướu không chỉ làm lộ chân răng thật, khiến nụ cười kém tự nhiên mà còn là nơi tích tụ mảng bám, vi khuẩn – nguyên nhân dẫn đến viêm nướu, hôi miệng và thậm chí là hỏng răng thật.
Nguyên nhân khiến răng sứ bị tụt lợi hở kẽ
Tình trạng răng sứ bị tụt lợi, hở kẽ không chỉ ảnh hưởng đến thẩm mỹ mà còn là dấu hiệu cho thấy cấu trúc răng – nướu đang gặp vấn đề. Có nhiều nguyên nhân dẫn đến hiện tượng này, trong đó phổ biến nhất là các yếu tố về kỹ thuật bọc sứ, chăm sóc răng và sức khỏe mô nướu.
Kỹ thuật bọc sứ không chuẩn
Đây là nguyên nhân hàng đầu khiến răng sứ nhanh bị tụt lợi hoặc hở viền nướu.
- Mài răng quá sâu hoặc sai tỷ lệ có thể khiến mão sứ không ôm sát vào viền nướu, tạo ra khe hở nhỏ giữa răng sứ và chân nướu.
- Dán keo, gắn mão sứ sai kỹ thuật hoặc không làm sạch kỹ trước khi cố định cũng khiến viền sứ không khít hoàn toàn, dẫn đến việc thức ăn, vi khuẩn dễ len vào gây viêm nướu và tụt lợi theo thời gian.
Vì vậy, lựa chọn nha khoa uy tín, bác sĩ có tay nghề cao và quy trình phục hình chuẩn xác là yếu tố quyết định giúp hạn chế rủi ro này.
Chăm sóc răng sau bọc không đúng cách
Sau khi bọc răng sứ, việc vệ sinh răng miệng đúng cách đóng vai trò rất quan trọng.
- Chải răng quá mạnh hoặc sai hướng có thể khiến nướu bị tổn thương, dẫn đến tụt dần và để lộ viền răng sứ.
- Không vệ sinh kỹ vùng viền sứ, đặc biệt là ở các kẽ răng, tạo điều kiện cho vi khuẩn và mảng bám tích tụ → gây viêm lợi, tiêu nướu, khiến khe hở giữa răng sứ và nướu ngày càng rõ hơn.
- Nên sử dụng bàn chải lông mềm, chỉ nha khoa và tăm nước để làm sạch nhẹ nhàng, tránh làm tổn thương nướu.

Mão sứ kém chất lượng hoặc quá hạn sử dụng
- Vật liệu sứ có chất lượng thấp hoặc không tương thích với cơ thể dễ gây phản ứng viêm nướu, kích ứng mô mềm quanh răng.
- Sau thời gian dài (thường từ 5–10 năm), lớp keo dán mão sứ có thể bị thoái hóa, dẫn đến bong nhẹ hoặc lộ chân răng thật.
- Khi đó, khe hở giữa mão sứ và nướu xuất hiện, kéo theo hiện tượng tụt lợi, hở kẽ và mất thẩm mỹ.
- Việc lựa chọn chất liệu sứ cao cấp và tái khám định kỳ giúp phát hiện sớm tình trạng này để thay mão sứ kịp thời.
Các yếu tố sinh lý và bệnh lý răng miệng
- Không chỉ do kỹ thuật hay chăm sóc, các yếu tố sinh lý tự nhiên cũng ảnh hưởng đến độ bền của mô nướu.
- Tuổi tác cao khiến mô nướu và xương ổ răng yếu dần, dễ bị tụt.
- Bệnh lý viêm nha chu, viêm nướu mãn tính hoặc cơ địa nướu yếu cũng khiến vùng nướu quanh răng sứ bị tổn thương và co rút theo thời gian.
- Khi đó, việc điều trị sớm và kiểm soát bệnh lý nha chu là cách tốt nhất để ngăn ngừa tụt lợi tiến triển.
Ảnh hưởng của tình trạng răng bị tụt lợi hở kẽ
Răng sứ bị tụt lợi, hở kẽ không chỉ là vấn đề thẩm mỹ đơn thuần mà còn tiềm ẩn nhiều rủi ro cho sức khỏe răng miệng. Nếu không phát hiện và khắc phục sớm, tình trạng này có thể dẫn đến hàng loạt hệ quả nghiêm trọng ảnh hưởng trực tiếp đến răng sứ, nướu và cả răng thật bên dưới.
Mất thẩm mỹ nghiêm trọng
Một trong những ảnh hưởng dễ nhận thấy nhất của tụt lợi – hở kẽ là làm giảm đáng kể tính thẩm mỹ của nụ cười.
- Khi nướu tụt, phần chân răng thật bị lộ ra, khiến răng sứ mất đi sự tự nhiên và hài hòa so với tổng thể hàm răng.
- Viền đen quanh nướu hoặc khoảng hở nhỏ giữa răng sứ và lợi khiến nụ cười kém duyên, gây mất tự tin khi giao tiếp, đặc biệt là với những người thường xuyên phải xuất hiện trước người khác.
Với những ai đầu tư bọc sứ để cải thiện ngoại hình, việc tụt lợi – hở kẽ vô tình trở thành “cơn ác mộng” làm giảm hiệu quả thẩm mỹ ban đầu.
Gây tổn thương và bệnh lý răng miệng
Khe hở giữa răng sứ và nướu là môi trường lý tưởng cho vi khuẩn và mảng bám phát triển.
- Đây là nguyên nhân dẫn đến viêm lợi, viêm nha chu, khiến nướu sưng đỏ, chảy máu và đau nhức kéo dài.
- Khi vi khuẩn xâm nhập sâu xuống chân răng thật, chúng có thể gây sâu răng ngầm, tiêu xương ổ răng, làm răng yếu dần, ảnh hưởng nghiêm trọng đến cấu trúc nâng đỡ của toàn hàm.
Nếu để lâu, tình trạng viêm nhiễm lan rộng không chỉ làm tổn thương vùng nướu mà còn khiến việc điều trị trở nên phức tạp, tốn kém hơn.
Ảnh hưởng đến tuổi thọ mão sứ và răng thật
Tụt lợi – hở kẽ không chỉ làm hại nướu mà còn rút ngắn tuổi thọ của mão sứ.
- Khi viền nướu không còn ôm sát, lớp keo dán giữa mão sứ và răng thật dần yếu đi, khiến răng sứ dễ bị bong, lệch hoặc rơi ra ngoài.
- Đồng thời, nướu và xương răng bị suy yếu theo thời gian do viêm nhiễm kéo dài, làm tăng nguy cơ mất răng thật sớm nếu không xử lý kịp thời.
Một mão sứ dù đắt tiền hay chất lượng cao cũng không thể bền đẹp nếu không có nền nướu khỏe mạnh và được chăm sóc đúng cách.

Cách khắc phục răng sứ bị tụt lợi hở kẽ
Khi răng sứ bị tụt lợi, hở kẽ, người bệnh không chỉ mất tự tin trong giao tiếp mà còn đối mặt với nguy cơ viêm nướu, hỏng răng thật nếu không xử lý kịp thời. Việc thăm khám và khắc phục sớm tại nha khoa uy tín là điều vô cùng quan trọng để bảo vệ cả sức khỏe răng miệng lẫn tính thẩm mỹ của nụ cười.
Dưới đây là những phương pháp khắc phục hiệu quả được bác sĩ nha khoa khuyến nghị:
Thăm khám nha khoa sớm
Ngay khi nhận thấy dấu hiệu tụt lợi, hở kẽ hoặc viền đen quanh răng sứ, bạn nên đến nha khoa để được kiểm tra chi tiết.
- Bác sĩ sẽ chụp X-quang nhằm xác định mức độ tụt lợi và độ khít giữa răng sứ – nướu, từ đó đánh giá nguyên nhân chính xác.
- Dựa trên tình trạng cụ thể, bác sĩ sẽ đưa ra hướng xử lý phù hợp: điều chỉnh nhẹ viền sứ, điều trị nướu hoặc thay mão sứ mới nếu hở quá nhiều.
Việc thăm khám sớm giúp hạn chế tổn thương tiến triển, đồng thời bảo vệ mô nướu và răng thật bên dưới.
Làm sạch và điều trị viêm nướu trước khi phục hình
Trước khi can thiệp phục hình lại răng sứ bị hở kẽ, bác sĩ sẽ tiến hành làm sạch hoàn toàn vùng nướu bị viêm:
- Sử dụng máy siêu âm để cạo vôi răng và loại bỏ mảng bám quanh viền sứ, giúp giảm vi khuẩn gây viêm.
- Kê thuốc kháng viêm, nước súc miệng chuyên dụng để làm dịu mô nướu, hỗ trợ hồi phục nhanh.
Khi vùng nướu đã khỏe mạnh, việc bọc hoặc thay mão sứ mới sẽ đạt độ bám khít và bền đẹp hơn, tránh tái phát tụt lợi sau này.

Thay mão sứ mới nếu hở nhiều
Trong trường hợp khe hở giữa răng sứ và nướu quá lớn hoặc mão sứ đã cũ, bong keo, bác sĩ thường khuyến nghị thay mão sứ mới.
- Nên ưu tiên các dòng sứ cao cấp như Zirconia, E.max có độ sát khít cao, khả năng tương thích tốt với mô nướu và không gây kích ứng.
- Quá trình bọc lại cần được thực hiện bằng kỹ thuật chuẩn xác, đảm bảo viền nướu ôm khít răng sứ, giúp duy trì vẻ tự nhiên và hạn chế vi khuẩn xâm nhập.
Khi được phục hình đúng kỹ thuật, răng sứ có thể giữ được độ bền, màu sắc và thẩm mỹ ổn định trong nhiều năm.
Chăm sóc đúng cách sau khi phục hình
- Chăm sóc răng sứ sau khi khắc phục là bước quan trọng giúp duy trì kết quả lâu dài.
- Đánh răng nhẹ bằng bàn chải lông mềm, sử dụng kem đánh răng dành cho răng nhạy cảm.
- Dùng chỉ nha khoa hoặc tăm nước để làm sạch thức ăn ở các kẽ răng, đặc biệt là khu vực viền nướu.
- Tái khám định kỳ 6 tháng/lần để nha sĩ kiểm tra độ khít của mão sứ, làm sạch chuyên sâu và phát hiện sớm các dấu hiệu bất thường.
Việc duy trì thói quen chăm sóc khoa học không chỉ giúp ngăn ngừa tụt lợi tái phát mà còn giữ nụ cười luôn sáng khỏe, tự tin.
Tình trạng răng sứ bị tụt lợi hở kẽ có thể khắc phục hiệu quả nếu được xử lý đúng cách và kịp thời. Vì vậy, nếu bạn đang gặp phải vấn đề tương tự, hãy đến nha khoa uy tín để được bác sĩ thăm khám và tư vấn hướng điều trị phù hợp nhất cho mình.
Hãy duy trì thói quen chăm sóc hàng ngày kết hợp với khám nha định kỳ, bạn sẽ luôn tự tin với nụ cười sáng khỏe, tự nhiên và bền đẹp theo thời gian.
NHA KHOA NGỌC
- GPKD số 08A8016688 do UBND TP cấp ngày 14/1/2021.
- GPHĐ số 000117/TB-GPHĐ
- BS Ngọc: 0913.833.959
- Giờ mở cửa : Sáng 8-11h, chiều 15-18h30 tất cả các ngày trong tuần
- Địa chỉ: 623 Lê Quý Đôn – Thành phố Thái Bình (đối diện cổng chính Công An tỉnh 9 tầng)
- Website: https://nhakhoathaibinh.com/
Xem thêm:
- Thiết kế nụ cười Thái Bình: Giải pháp hoàn hảo cho nụ cười của bạn
- Răng sứ bị viêm lợi và lung lay: Nguyên nhân, dấu hiệu và cách xử lý
- Điều trị viêm lợi do răng sứ: Lời khuyên từ bác sĩ nha khoa
- 5 bí quyết phòng ngừa viêm lợi răng sứ an toàn và bền lâu
- Viêm lợi sau bọc răng sứ: Dấu hiệu nhận biết sớm và cách xử lý kịp thời
